概述
圆锥角膜的患者在临床上可表现为出现角膜急性水肿。
该症状的病因和发病机制尚不清楚,患者应及时就医治疗。
症状
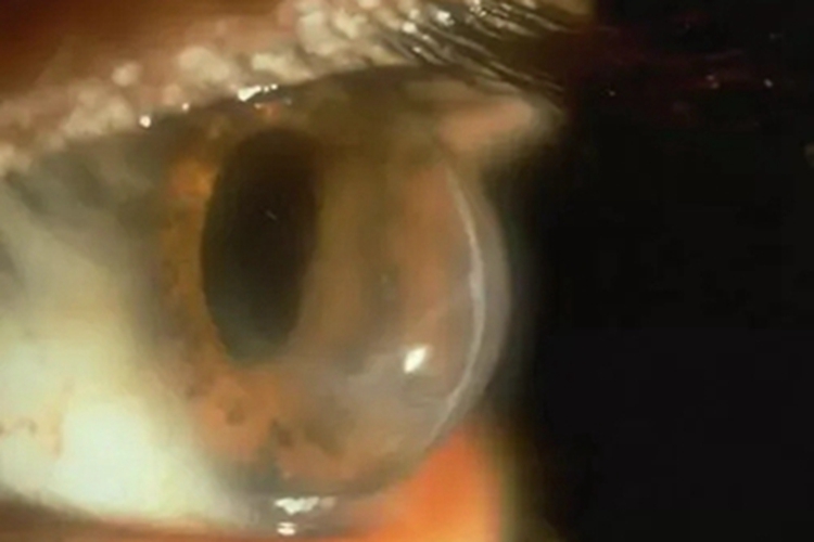
圆锥角膜的患者在临床上可表现为出现角膜急性水肿,角膜扩张并且明显鼓起,从侧面观更明显,同时伴随视力明显下降,角膜水肿可消退,消退后遗留中央区角膜混浊。

病因
该症状的病因和发病机制尚不清楚。可能与遗传因素、结缔组织疾病、用眼不卫生、长期揉眼睛、眼睑松弛综合征等因素有关,以上因素均会破坏角膜细胞间的黏附作用,使组织液在角膜下聚集,进而导致角膜出现水肿。
治疗
患者应及时就医,在医生指导下根据具体情况选择合适的治疗方法。部分轻症患者,可配戴框架眼镜或硬性角膜接触镜矫正视力。对于严重者,视力不能矫正或圆锥角膜发展较快者应行角膜移植术、穿透性角膜移植或深板层角膜移植,均是有效的手术方法,使患者的视力得到改善。
除此之外,紫外线核黄素交联治疗也有较好的疗效,但远期结果尚需进一步观察。
参考文献
[1]杨培增,范先群.眼科学(第9版)[M].北京:人民卫生出版社,2018:124-125.
[2]杨文利.临床眼超声诊断学[M].北京:科学技术文献出版社,2019:173.
展开
