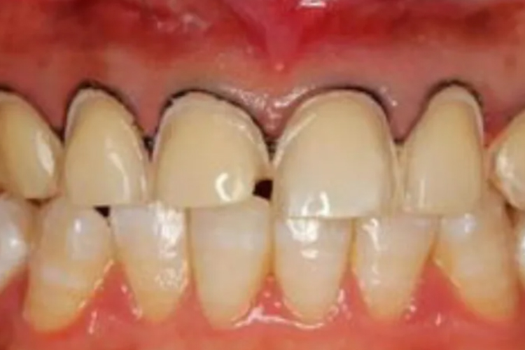
牙龈正常颜色为粉红色,少数人牙龈上附着有生理性色素沉着,表现为灰黑色或棕褐色色素斑,但是也有病理性色素沉积现象。
牙龈颜色可分为正常和异常牙龈,两者之间存在有一定的差异,具体表现如下:
正常牙龈:牙龈的色泽为粉红色,覆盖于牙槽突边缘区及牙颈间的口腔黏膜,内与腭和舌下区相连,外与牙槽黏膜相连。牙龈的边缘称为龈缘,其突入牙间部分称为龈乳头。但少数人附着龈上可有色素沉着,表现为灰黑色或棕褐色色素斑,色泽均匀。

异常牙龈:牙龈着色也有病理性色素沉积现象,如使用含重金属的药物、吸人铅、汞后沉积在牙龈黏膜上等。铅中毒者常有龈缘的蓝黑色或蓝红色铅线;汞、砷等也可在游离龈、牙乳头和附着龈处出现黑色斑块。

口内的食物残渣、软垢如不及时清理,就容易形成表面附着的牙菌斑,并在牙面和牙间隙迅速生长,而刷牙是其中最简便,经济的方法,它不仅能清除口腔内的食物残渣、软垢,还能按摩牙龈,从而减少口腔环境中的致病因素,减少相关口腔疾病的发生。此外,在日常生活中,应该减少重金属的接触。
[1]宏文主编.实验口腔颌面解剖学[M].广州.中山大学出版社.2020.122.
[2]徐国权主编.口腔临床技术与临床实践[M].长春.吉林科学技术出版.2019.109.
[3]李远贵主编.实用儿童口腔医学[M].重庆.重庆大学出版社.2015.137.
[4]米方林主编.口腔医学 第2版[M].江苏凤凰科学技术出版社.2018.10.4.