概述
牙瘤会有骨质膨胀、神经痛等症状,X线检查可见颌骨膨胀,具体病因尚不清楚,可能与牙胚组织发育过程中受到创伤或炎症刺激有关。
症状
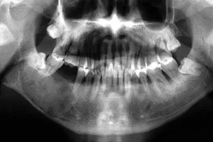
牙瘤多见于青年人,瘤体生长缓慢,早期无自觉症状。牙瘤发生部位可有骨质膨胀,可因肿瘤压迫神经出现神经疼痛,也可因拔牙或继发感染时才发现牙瘤存在。X线可见颌骨膨胀,有很多大小形状不一、类似发育不全的牙齿影像,或透射度似牙组织的一团影像,与正常骨组织之间有清晰阴影。

病因
牙瘤的病因尚不清楚,可能是牙胚组织发育过程中,受到创伤或炎症刺激致增生形成的错构肿瘤或异常发育,发生于颌骨内,由一个或多个牙胚组织异常发育增生而形成。
治疗
牙瘤需行手术切除,一般将肿瘤表面骨质去除后,刮除牙瘤并清理其被膜,可应用磺胺类药物预防感染。日常生活中要保持口腔卫生,避免口腔疾病的发生。
参考文献
[1]北京医师协会组织.口腔科诊疗常规[M].北京:中国医药科技出版社,2020.266.
[2]张志愿.口腔医学4[M].北京:中国协和医科大学出版社,2019.241-242.
展开
