概述
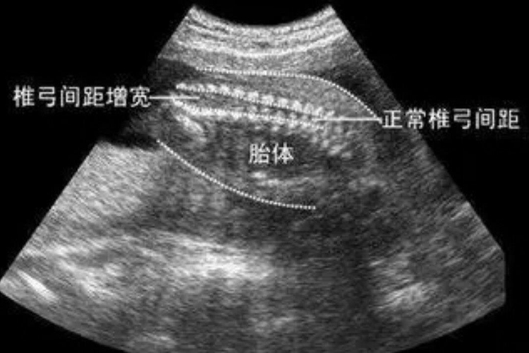
大排畸是在妊娠20-24周通过超声检查,判断胎儿是否存在脊柱椎弓间距增宽、软腭裂、心脏增宽等发育畸形情况。
检查内容
大排畸通常在妊娠20-24周时进行的胎儿系统超声检查,筛查胎儿结构畸形。正常情况下胎儿心、脑、肾、膀胱、胃、上唇、四肢骨、脊柱、腹壁等均正常。当出现侧脑室增宽、脊柱椎弓间距增宽、软腭裂、双肾增大、心脏增宽、裂腹畸形伴肠管外翻等异常情况时,多提示胎儿发育异常。







注意事项
大排畸前一般无需空腹,尽量穿宽松、易穿脱的衣物,在检查过程中配合医生充分暴露受检部位并调整体位、变换呼吸动作,以看清胎儿结构。大排畸检查后如无异常情况,建议做好妊娠必要防护,注意营养丰富,避免接触放射性物质,适当进行身体活动,避免性生活,以免造成流产、早产等现象。
参考文献
[1]安力彬,陆虹.妇产科护理学.第6版[M].北京.人民卫生出版社.2017.67,70-71.
[2]艾可.孕产妇保健护理全书[M].哈尔滨.黑龙江科学技术出版.2016.109-112.
[3]谢幸,孔北华,段涛.妇产科学.第9版[M].北京.人民卫生出版社.2018.62-64.
展开
