概述
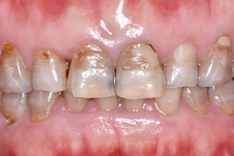
重度四环素牙患处出现缺损,表面有裂纹且颜色分布不均匀,多呈黄灰色或黑色。
该病的发生与服用四环素、金霉素等药物有关,可遵医嘱用瓷贴面或烤瓷牙修复。
症状
重度四环素牙可导致患处出现不同程度的缺损,表面可有长短、深浅不一的裂纹,同时表面有色素沉着,多呈黄灰色或黑色,颜色分布不均匀。

病因
重度四环素牙是患者在牙齿发育的矿化期应用四环素类药物导致,四环素药物可以与牙体组织内的钙结合形成极稳定的物质,并沉积于牙体组织中,使牙着色。可引起四环素牙的四环素类药物包括四环素、金霉素、去甲金霉素(地美环素)、土霉素等,尤以四环素作用最为明显。
治疗
重度四环素牙可遵医嘱使用瓷贴面或烤瓷牙修复,也可用漂白术脱色,在美观方面有特殊要求者,也可采用内脱色法处理。
参考文献
[1]周学东.牙体牙髓病学.第5版[M].北京.人民卫生出版社.2020.56-57.
[2]张志愿.口腔科学.第9版[M].北京.人民卫生出版社.2018.46.
展开
