概述
嗓子后壁指咽后壁,咽后壁有红疙瘩可表现为滤泡或疱疹样改变,可伴疼痛、声音嘶哑等。
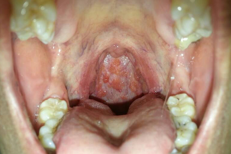
咽后壁有红疙瘩可能是咽喉炎症引起的淋巴滤泡增生,或病毒感染引起的咽部疱疹症状。
症状
淋巴滤泡增生
淋巴滤泡增生肉眼可见咽后壁部位出现散状或团状红色疙瘩,随增生加重可导致声音嘶哑、咽干、咽痒、咳嗽、喘憋、吞咽困难等情况。
咽部疱疹
咽部疱疹表现为红色、透明或灰白色水疱样疙瘩,可伴随有咽部疼痛、咳嗽、咳痰、高烧、寒战、头痛、全身酸痛等症状。

病因
淋巴滤泡增生
咽后壁淋巴滤泡增生,多见于急慢性咽炎、急慢性扁桃体炎、扁桃体周围脓肿、咽后脓肿等疾病,吸烟、饮酒等不良生活方式也可刺激咽后壁黏膜,导致淋巴滤泡增生,可表现为咽后壁有红疙瘩。
咽部疱疹
咽后壁疱疹主要是由疱疹病毒感染所致,可在咽后壁、软腭、悬雍垂等部位出现红色疱疹样疙瘩。
治疗
淋巴滤泡增生
针对淋巴滤泡增生引起的咽后壁红疙瘩症状,需要针对原发病治疗,戒烟酒,避免进食刺激性食物,同时可使用消炎药物治疗,如蒲地蓝消炎片等,待咽喉部炎症消失后症状可逐渐消退。
咽部疱疹
疱疹病毒通常具有传染性,因此对患者需进行隔离治疗,可使用利巴韦林、阿昔洛韦等抗病毒药物治疗,有助于缓解咽后壁疱疹症状。
参考文献
[1]席淑新.眼耳鼻咽喉口腔科护理学.第3版[M].北京.人民卫生出版社.2014.205.
展开

