概述
根尖周炎可分为急性根尖周炎和慢性根尖周炎,一般存在红肿、脓肿、脓疱,存在患牙咬合痛、钝痛、跳痛等不适。
症状
根尖周炎一般分为急性根尖周炎和慢性根尖周炎二者症状表现有所不同。
急性根尖周炎:初期患牙有咬合痛,有不适浮出感,与对颌牙早接触,随着病情的发展,患牙出现自发性持续性钝痛、咬合痛。随病情发展可出现根尖周脓肿、骨膜下脓肿、黏膜下脓肿症状,通常患牙出现自发性剧烈、持续的跳痛,伸长感加重,不敢咬合,牙龈可出现肿胀、叩痛、松动、脓疱等表现。

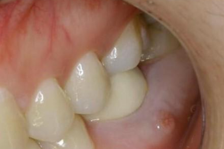
慢性根尖周炎:慢性根尖周炎一般无明显的自觉症状,部分患牙咀嚼时有不适感,可出现牙龈起脓疱、反复肿痛,严重时可引起根尖瘘管症状。

病因
根尖周炎是发生在根尖周围组织的炎症性疾病,多由牙髓病发展而来,牙髓组织和根尖周组织通过根尖孔密切相连,牙髓组织中的病变产物、细菌及其毒素等可通过根尖孔扩散到根尖周组织,引起根尖周炎。
治疗
根尖周病和牙髓病在治疗过程与治疗措施上也一致,重点在于解决牙髓病变,可采用塑化术和根管治疗的方法,必要时拔除患牙。对于急性根尖周炎发作时要开髓治疗,开通髓腔引流通道穿通根尖孔,使根尖渗出物及脓液通过根管得以引流,以缓解根尖部的压力,使疼痛减轻。待急性炎症消退后再作常规治疗。慢性根尖周炎的治疗一般要给予抗生素或止痛药,也可以局部封闭、理疗及针灸止痛治疗。
参考文献
[1]张志愿.口腔科学(第9版)[M].北京:人民卫生出版社,2018:56-58.
[2]耿春芳.实用口腔科疾病治疗进展[M].长春:吉林科学技术出版社,2019:146.
展开
