概述
种植牙属于义齿的一种,临床效果表现为外形逼真,稳定性好,可帮助使用者恢复咀嚼功能,术后需注意护理以延长使用寿命。
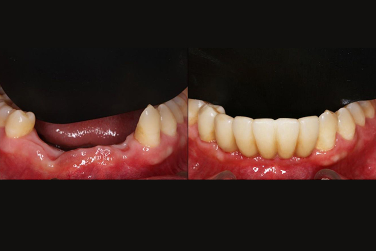
效果
种植牙的外形逼真,稳定性好,舒适度高,可恢复患者咀嚼功能,明显优于传统活动义齿,美观度也接近正常牙。而且体积小、有独立性,治疗时无需磨损缺牙区旁边的正常牙,可最大限度地保护患者的健康牙齿。





注意事项
种植牙后为了避免出现术后并发症,并尽可能延长义齿的使用寿命,需要注意术后当天应半流质或全流质饮食,24小时内不能刷手术区牙齿,不可使用手术区的牙咀嚼食物。而术后3个月内不宜用种植牙咀嚼过硬的食物,并减少手术区周围肌肉的运动,避免大笑、频繁讲话等。
同时要戒烟酒及刺激性食物,适量增加高钙食物、维生素的摄入量,平时保持口腔卫生,每天早晚刷牙,饭后漱口。如果出现异常,需要及时复诊,由医生进行处理。
参考文献
[1]林征主编.整形美容专业护士岗位培训教程[M].南京.东南大学出版社,2016.119-120.
[2]张佐主编.口腔临床实践指导[M].阳光出版社,2017.724-725.
[3]北京医师协会组织编写.口腔科诊疗常规[M].北京:中国医药科技出版社,2020.395-397.
展开
