概述
坏血病是由于长期缺乏维生素C所引起的周身性疾病,以皮肤黏膜出血、骨骼改变等为主要症状。
症状
坏血病患者以皮肤黏膜出血和骨骼改变为主要症状,同时,还可伴有倦怠、全身乏力、精神抑郁、虚弱、厌食、营养不良、面色苍白等全身症状。
皮肤黏膜出血:表现为牙龈肿胀、出血,并可因牙龈及齿槽坏死而致牙齿松动、脱落;皮肤可出现瘀点、瘀斑、毛囊过度角化、周围出血,并可出现鼻出血、血尿、便血、关节出血、颅内出血等症状。


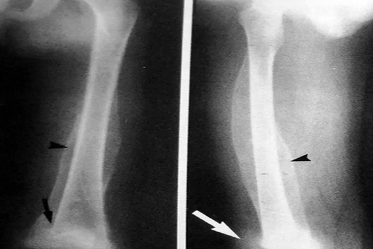
骨骼改变:小儿可有骨膜下出血,轻微活动引起剧烈疼痛,晚期长骨发育障碍,肋骨与肋软骨交界处有隆起,隆起之内侧有一凹陷。还可出现下肢假性瘫痪、髋关节外展膝关节半屈,呈蛙样姿势。X线检查可见长骨骺端出现白色骺线,骺线之下出现全宽度的黑色缝或倾角的黑色点。

病因
坏血病多是由于生活于冬季缺乏新鲜蔬菜的北方地区,或由于各种原因导致维生素C摄入不足,从而引起机体长期缺乏维生素C,造成结缔组织中纤维形成障碍,细胞间结合质减少,出现牙质及骨样组织形成停滞、毛细血管出血、创伤愈合延迟、叶酸和铁的代谢发生障碍,而引起贫血等表现。
治疗
对于轻症的坏血病患者,需遵医嘱服用维生素C片,重症及有呕吐、腹泻或内脏出血症状者,应改为静脉注射。合并巨幼红细胞贫血者,维生素C治疗量应加大,另给适量叶酸片。骨骼病变明显的患儿,应安静少动,以防止骨折及骨骺脱位,有牙龈出血者应注意口腔清洁。在坏血病好转后,需多吃新鲜水果、蔬菜,以维持维生素C的稳定,避免再次出现坏血病。
参考文献
[1]张贤锋.实用儿科疾病诊断与治疗[M].延吉.延边大学出版社.2017.92-93.
[2]周继如,张智博,罗恒.合理有效安全用药处方手册[M].北京.科学技术文献出版社.2018.721-722.
展开
