概述
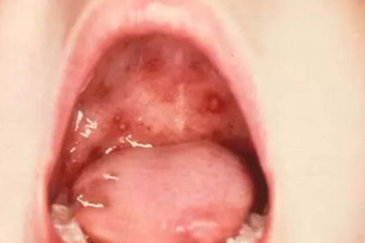
儿童上颚有红点像出血可表现为粟粒状、溃疡状,可伴随发热、咽痛、手脚起红点等症状。
儿童上颚有红点像出血常见于手足口病、疱疹性咽峡炎、溃疡性口炎等疾病。
症状
儿童上颚有红点像出血,临床常见的疾病包括手足口病、疱疹性咽峡炎、溃疡性口炎,具体症状也有一定差异。
手足口病:可分为普通病例和重症病例。前者急性起病,口、手、足、臀等部位可见散发性的皮疹和疱疹,偶见于躯干。口腔内疱疹多位于上颚、颊黏膜等处,常发生溃疡,可有类似红点像出血的症状;而重症病例病情迅速进展还可伴有神经系统、呼吸系统、循环系统的异常症状。

疱疹性咽峡炎:好发于夏秋季,起病急骤。咽部充血,可在上颚等处的口腔黏膜上发现多个2-4mm大小灰白色的疱疹,周围有红晕,1-2日后破溃形成小溃疡,看起来类似红点像出血,还可伴有高热、咽痛、流涎、厌食、呕吐等症状。病程为1周左右。

溃疡性口炎:可发生在上颚等口腔各部位,可蔓延到唇及咽喉部。开始时黏膜充血水肿,随后形成大小不等的糜烂或溃疡,上有纤维素性炎性分泌物形成的假膜,呈灰白色或黄色。边界清楚,易拭去,露出创面,类似红点像出血。还伴有局部疼痛、流涎、拒食等症状。常有发热,体温可达39-40℃,严重者可出现脱水和酸中毒。

病因
儿童上颚有红点像出血,临床常见的疾病包括手足口病、疱疹性咽峡炎、溃疡性口炎,病因均与病毒、细菌等可在局部黏膜中繁殖复制,或直接刺激局部黏膜,引发炎症性病变。当其感染上颚黏膜时,即可出现上颚有红点像出血的症状。
治疗
儿童上颚有红点像出血,临床常见的疾病包括手足口病、疱疹性咽峡炎、溃疡性口炎,需根据病因进行针对性治疗。
手足口病:普通病例主要是对症治疗,且注意隔离,避免交叉感染、适当休息、清淡饮食、做好口腔和皮肤护理即可。重症病例则需根据受累的系统进行相应治疗,当神经系统受累时可给予甘露醇注射液降颅压,还可根据情况加用呋塞米注射液、注射用甲泼尼龙琥珀酸钠;呼吸、循环衰竭的儿童还应保持呼吸道通畅,监测生命体征等。
疱疹性咽峡炎:首先应注意休息,居室通风,多饮水,防止交叉感染及并发症。其次应用抗病毒药物,如磷酸奥司他韦颗粒,并给予对症治疗,如高热可予对乙酰氨基酚片,或采用冷敷或温水浴等物理降温的方法;咽痛可予复方草珊瑚咽喉含片改善不适症状。
溃疡性口炎:临床酌情可使用抗生素控制感染;其次应保持口腔清洁,可用过氧化氢溶液或依沙吖啶溶液清洁口腔,溃疡面可涂金霉素、鱼肝油;最后适当补充水分和营养,促进儿童恢复。
参考文献
[1]王卫平,孙锟,常立文.儿科学.第9版[M].北京:人民卫生出版社.2018:180-182,240-242.
[2]崔焱,仰曙芬.儿科护理学.第6版[M].北京:人民卫生出版社.2017:283.
