概述
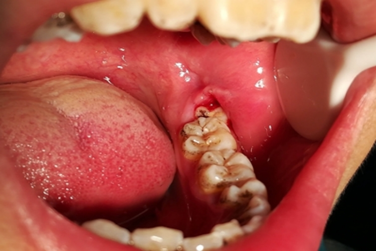
严重智齿冠周炎的患者,临床上可表现为智齿周围牙龈组织红肿、糜烂。
该症状可由细菌感染引起,患者应遵医嘱清洗牙齿、使用药物。
症状
严重智齿冠周炎的患者,临床上可表现为智齿周围牙龈组织红肿、糜烂,还可见位置萌出异常的智齿,症状严重时炎症侵袭咀嚼肌,可导致不同程度的开口受限,有明显触痛,压迫时有脓血液溢出。

病因
智齿在萌出过程中形成与口腔相通的盲袋,盲袋内易存储食物残渣、唾液、细菌,在适宜的口腔温度和湿度环境中很容易滋生细菌,当患者刷牙方法不对,或长期不刷牙,导致口腔卫生差时,极易诱发智齿冠周炎,若不及时治疗,病情会逐渐加重。
治疗
智齿冠周炎患者可遵医嘱冲洗牙齿,如双氧水或温热生理盐水,冲洗后可用碘甘油、三氯醋酸溶液等药物进行涂抹,可达到收敛的作用。若患者出现强烈不适,可遵医嘱使用抗生素,如头孢克洛颗粒、阿莫西林胶囊等。除此之外,患者在日常生活中应养成早晚刷牙、饭前饭后用温热水含漱的良好习惯,可改善局部血液循环,促使炎症消散。
参考文献
[1]李保全,宋爱华,孔志国主编.现代疾病综合诊疗与护理[M].长春.吉林科学技术出版社.2019.125.
[2]王玮主编.现代实用口腔医学[M].云南科学技术出版社.2020.214.
展开
