概述
乳腺导管内乳头状瘤表现为挤压乳腺时乳头溢液,无疼痛及其他不适,少数有乳房肿块。
乳腺导管内乳头状瘤的发生,可能与雌激素水平增高或相对增高有关。
症状
乳腺导管内乳头状瘤的患者临床表现为挤压乳腺时乳头溢液,多数可在内衣上发现血迹或黄褐色污迹,无疼痛及其他不适。少数患者可有乳房肿块。乳腺检查时,挤压肿瘤所在区域,乳头出现血性或其他性质的溢液。
大导管内乳头状瘤可在乳晕区触及肿块者占1/3左右,肿块呈圆形、质韧、表面光滑、边界清楚。如继发感染,则肿瘤有压痛,可与皮肤粘连。发生于中小乳管的乳头状瘤,肿瘤多在周边区,瘤体较大,肿瘤亦可与皮肤粘连。

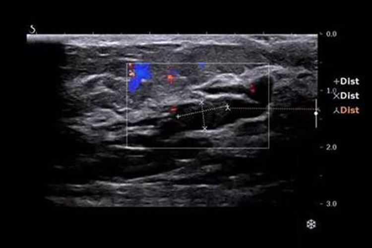
乳腺导管内乳头状瘤可通过超声检查辅助诊断,单发者表现为乳晕后区导管扩张,其近端可见实性低回声肿块,或表现为条索状、絮状弱回声充满管腔。另还可表现为囊实性肿块,临床可扪及肿块,但患者常无乳头溢液的临床表现。当病灶为多发者,可表现为双侧乳腺内多条树枝状分布的扩张导管,部分导管内可见单个或多个乳头状突起。

病因
乳腺导管内乳头状瘤是良性乳头状瘤,多见于经产妇女,以40-45岁居多,发病原因可能与雌激素水平增高或相对增高相关。
治疗
乳腺导管内乳头状瘤需在医生指导下治疗。治疗以手术为主,应切除包括瘤体在内的导管系统。对于明确起源于大导管的孤立乳腺导管内乳头状肿瘤,也可以选择病变乳管切除术。乳腺导管内乳头状瘤病合并非典型增生恶变率较高,术后可考虑给予药物预防,如枸橼酸他莫昔芬。
参考文献
[1]刘文志,常庆勇.普通外科学 高级医师进阶.第1版[M].北京.中国协和医科大学出版社.2016.95.
[2]耿道颖.医师考核培训规范教程影像与核医学科分册[M].上海科学技术出版社.2018.171.
[3]张玉国.临床常见普外科疾病学[M].西安交通大学出版社.2018.523.
[4]徐延森.现代普外科治疗精粹[M].湖北科学技术出版社.2018.224.
