概述
副银屑病可发生在腹部,皮损表现为红褐色斑片,大小不一,数目不定,可无自觉症状。本病病因不明,可遵医嘱使用糖皮质激素治疗。
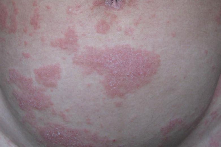
症状
副银屑病部分患者可发生在腹部,皮肤上可出现红褐色斑片,数目不定,可相互融合,或散在分布,大小不一,上面可覆有细薄鳞屑。除皮损外患者可无其他自觉症状,部分患者可伴有乏力、关节痛等全身症状。

病因
副银屑病的病因不明,可能是由感染性病灶致敏所致,其中斑块型副银屑病可能为蕈样肉芽肿的早期表现。
治疗
副银屑病的治疗效果不理想。可系统使用糖皮质激素,如醋酸泼尼松片,可与抗生素类药物联用,如头孢克洛胶囊。同时补充维生素D、维生素C、维生素E及B族维生素等,也可使用抗组胺药,如氯雷他定片。局部可涂抹复方醋酸地塞米松乳膏,并配合物理疗法、光化学疗法进行辅助治疗。
需注意,以上用药均需遵医嘱使用。
参考文献
[1]姚战非著.新编皮肤病临床诊疗精要[M].哈尔滨.黑龙江科学技术出版社.2018.126.
[2]陆海涛主编.临床皮肤性病学.第2版[M].吉林科学技术出版社.2019.102.
展开
