概述
DR属于数字X线成像技术,用于肺结核检查,可呈圆形、类圆形或局限性斑片影、粟粒状影以及片状或斑点状等表现。
表现
肺结核主要可分为原发性肺结核、血行播散型肺结核、继发性肺结核等,而三者的DR表现各有不同。
原发性肺结核
典型表现呈“哑铃”状,邻近胸膜处的肺内原发病灶,多位于中上肺野,呈圆形、类圆形或局限性斑片影。若有淋巴管炎,可出现自原发性病灶向肺门走行的不规则条索状影。若有肺门、纵隔淋巴结增大,可表现为肺门影增大或纵隔淋巴结增大,并突向肺野。

血行播散型肺结核
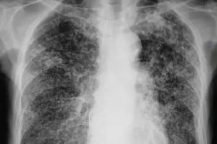
急性血行播散型肺结核:表现为两肺弥漫分布的粟粒状影,粟粒大小为1-3mm,边缘较清晰。典型表现为“三均匀”,即分布均匀、大小均匀和密度均匀。

亚急性血行播散型肺结核:表现为双肺上、中野粟粒状或较粟粒更大的小结节影,大小不一、密度不等分布不均,即“三不均匀”。肺尖部及锁骨下病灶可为硬结、钙化及纤维化,其余病灶呈增殖或渗出性改变。

继发性肺结核
浸润型肺结核:表现为小片状或斑点状阴影,可融合和形成空洞。

干酪性肺炎:呈大叶性密度均匀磨玻璃状阴影,逐渐出现溶解区,呈虫蚀样空洞,可出现播散病灶。

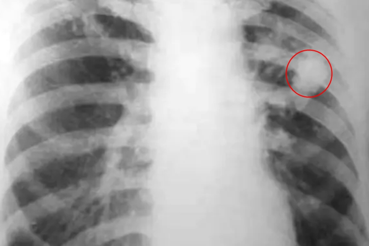
结核球:表现为球内有钙化灶或液化坏死形成空洞,同时有卫星灶,直径2-4cm,多小于3cm。

治疗
肺结核的治疗主要包括病因治疗和对症治疗。
病因治疗:肺结核多是由于结核杆菌感染所致,建议在医生的指导下,遵循早期、规律、全程、适量、联合的原则,合理地使用异烟肼、利福平、吡嗪酰胺、乙胺丁醇、链霉素等抗结核药物。
对症治疗:对于少量咯血的肺结核患者,多以安慰患者,消除紧张和卧床休息为主,可用氨基己酸、卡巴克洛等药物止血。大咯血者可给予垂体后叶素。
参考文献
[1]徐克,龚启勇,韩萍.医学影像学.第8版[M].北京.人民卫生出版社.2018.124-125.
[2]金征宇,龚启勇.医学影像学.第3版[M].北京.人民卫生出版社.2015.5.
[3]葛均波,徐永健,王辰.内科学.第9版[M].北京.人民卫生出版社.2018.68.
