概述
根尖周炎发生后,可见患处有脓包,大小不定,表面光滑。本病常继发于龋齿、牙髓炎等情况,应遵医嘱进行治疗。
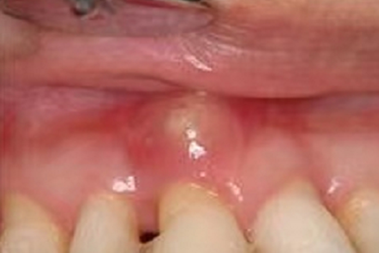
症状
根尖周炎导致的损害可表现为脓包,呈半球形,无明显疼痛感,表面光滑,有弹性,大小不定。患者在咀嚼食物时,可觉局部有异物感,建议及时就医。

病因
根尖周炎最常见的病因是细菌感染,常继发于龋齿、牙髓炎等情况。此外局部创伤(如跌倒、碰撞、意外事故)、长期咬合关系不正常、根管治疗时药物剂量过大、封药时间过长等都可引发根尖周炎。
治疗
对于根尖周炎的治疗,应尽可能消除炎症,尽量保存患牙,恢复患者的咀嚼功能。对于局部形成脓肿、脓疱等情况,需要进行切开引流处理。对于患牙需进行根管治疗,并用消毒剂进行冲洗,可搭配抗生素等药物缓解炎症。对于无法保留的患牙,可视情况进行拔除。注意上述治疗均需遵医嘱治疗。
参考文献
[1]张志愿.口腔科学.第9版[M].北京.人民卫生出版社.2018.56-58.
[2]周学东.牙体牙髓病学.第5版[M].北京.人民卫生出版社.2020.179-186.
[3]樊明文主编.中华医学百科全书;2;临床医学;口腔医学[M].北京:中国协和医科大学出版社,2018.41-43.
[4]燕贵军等主编.精编口腔科学[M].上海:上海交通大学出版社,2018.111-118.
[5]张营等主编.新编临床口腔医学;上[M].长春:吉林科学技术出版社,2017.169-177.
展开
