概述
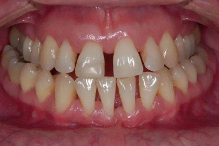
牙齿扇形移位可能由局限性侵袭性牙周炎导致,常在患病早期即可发生上、下颌前牙的唇向移位,出现较大的牙间隙,称为扇形移位。
症状
疾病早期会出现牙齿松动和移位,在炎症不明显的情况下,患牙可出现松动、咀嚼无力等异常表现。切牙可向唇侧远中移位,呈扇形散开排列,导致出现牙间隙,多见于上颌切牙,而后牙可出现不同程度的食物嵌塞。

病因
侵袭性牙周炎的病因虽未完全明确,但临床上认为某些高毒力的特定微生物的感染,以及宿主免疫应答反应的特点,可能是引起本病的两个主要因素。
治疗
疾病症状不太重而有患牙移位、倾斜的患者,可在炎症控制后,用正畸方法将患牙复位排齐。但正畸过程中,务必加强菌斑控制和牙周病情的监控,加力也宜轻缓。
参考文献
[1]孟焕新.牙周病学.第5版[M].北京.人民卫生出版社.2020.109.153.157.
[2]赵铱民.口腔修复学.第8版[M].北京.人民卫生出版社.2020.292.
展开
