概述
肺部错构瘤CT表现为病灶边缘光滑,多呈圆形或类圆形,无毛刺征,可有轻度分叶。
肺部错构瘤是一种间叶性良性肿瘤,主要由于胚胎发育异常导致。
症状
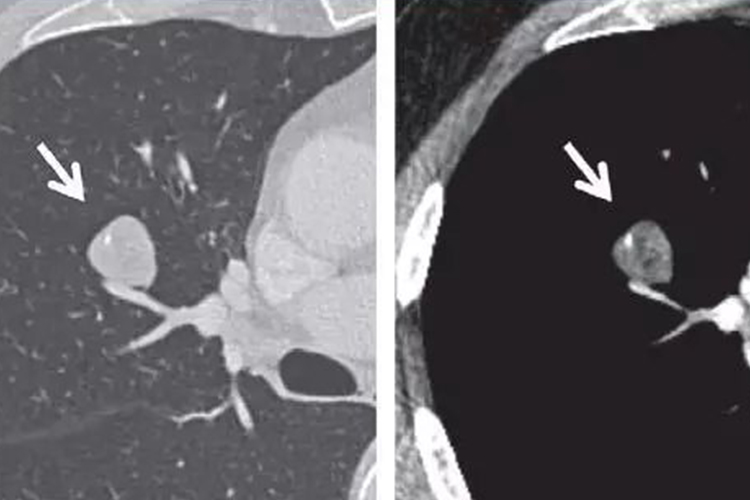
肺部错构瘤CT表现为病灶边缘光滑,多呈圆形或类圆形,无毛刺征,可有轻度分叶,病灶多小于5cm,肿块多为软组织密度,其内可见脂肪密度区。肿块多位于肺内,可靠近肺门,亦可位于气管腔内,肺门及纵隔内无肿大淋巴结。

病因
肺部错构瘤是一种间叶性良性肿瘤,主要由于胚胎发育异常导致,可使肺组织出现不正常组合的瘤样畸形。
治疗
肺部错构瘤虽然恶变率较低,但是由于其难以与周围型肺癌相鉴别,因此多主张早期诊断、早期手术,手术是目前肺部错构瘤的主要治疗方法。
参考文献
[1]耿道颖编.医师考核培训规范教程影像与核医学科分册[M].上海:上海科学技术出版社,2018:130-131.
[2]许顺主编.中国医科大学附属第一医院胸外科疾病病例精解[M].北京:科学技术文献出版社,2019:304-305.
[3]廖美琳主编.微小结节肺癌[M].上海:上海科学技术文献出版社,2016:2-3.
展开
