概述
乳腺导管扩张在乳头及乳晕下区有扭曲扩张的输乳管和大导管,直径可达3-4mm或更大,本病的病因未明,主要通过手术治疗。
症状
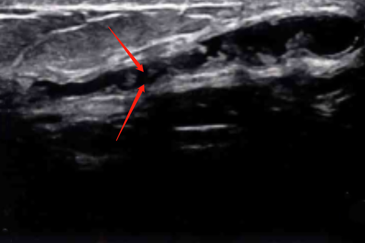
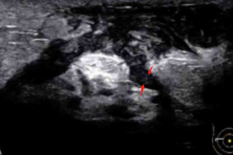
乳腺导管扩张时受累乳管常为3-4条,多者可达十几条,扩张的导管直径可达3-4mm或更大。切面可见扩张的导管及囊内充满黄褐色、奶油样或豆腐渣样黏稠物。超声检查可分为四种类型,具体表现如下:
Ⅰ型:乳晕周边中央带腺体层大乳管单纯性扩张,导管壁光滑,无明显增厚,导管内可见点状极低回声,管腔内未见实性回声充填。

Ⅱ型:腺体层内出现沿乳管走行方向不均匀性的低回声团块,不均匀性低回声位于导管内和/或导管周围。

Ⅲ型:乳晕区或周围带腺体层内有实性团块,团块周边可见低回声,内部回声为均匀稍高回声或不均匀实性低回声,多可见扩张乳管内流动感低回声。

Ⅳ型:腺体层内见部分或完全性液化的脓肿样回声,边界不清晰,液化区可见细小流动感低回声,部分病例可见瘘管样回声。

病因
乳腺导管扩张的发病机制尚不清楚,可能是一种退行性改变;也可能与自身免疫性因素有关;多数发病可能与乳头的内陷或畸形,导管鳞状上皮化生,分泌物阻塞,刺激导管壁而造成局部慢性炎症,纤维组织增生有关。
治疗
手术治疗是乳腺导管扩张有效的治疗方法。根据不同的发展阶段,采取不同的手术方法。常用的手术方式有皮下乳腺切除术、区段切除术、象限切除术,单纯乳房切除术等。
参考文献
[1]王志广主编.普通外科疾病临床诊疗新思维[M].长春:吉林科学技术出版社,2019.94-96.
[2]轩维锋,徐晓红主编.乳腺超声与病理诊断[M].北京:科学技术文献出版社,2019.44-46.
展开
