概述
浅龋患者牙齿可变黑,多见于窝沟处,牙齿平滑面可出现斑点。其发生多考虑为细菌、宿主、食物、时间相互作用的结果,遵医嘱治疗。
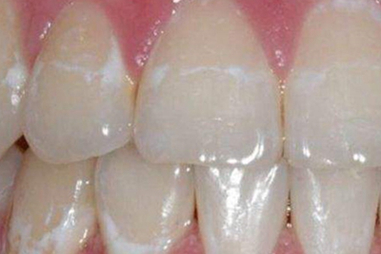
症状
浅龋患者牙齿逐渐变黑,多发生在窝沟中,如果发生在牙齿平滑面,一般呈白垩色、黄褐色或褐色斑点,多无龋洞形成,患者一般无自觉症状,对冷、热、酸、甜刺激无反应。


病因
浅龋是多因素导致的疾病,多考虑为细菌、宿主、食物、时间相互作用的结果,一般认为四种因素同时存在才会发生龋病。
治疗
浅龋可遵医嘱进行再矿化治疗以及窝沟封闭。如果已经形成缺损,需要使用合适的材料进行填充,临床常用复合树脂。
参考文献
[1]张志愿.口腔科学(第9版)[M].北京:人民卫生出版社,2018:43-45,58-60.
[2]周学东.牙体牙髓病学(第5版)[M].北京:人民卫生出版社,2020:24-27.
展开
