概述
牙结石又称牙石,是附着在牙面上钙化的牙菌斑,外观呈白色、黄色、褐色等。
牙结石的形成与唾液成分、饮食习惯、口腔卫生条件有关。
症状
牙结石可分为龈上牙石、龈下牙石,具体特征分析如下:
龈上牙石
这种牙结石沉积在牙冠表面,呈黄色或白色,也可因吸烟或食物着色呈深色,体积可较大,尤其在与唾液腺导管相应处的牙面上沉积较多。

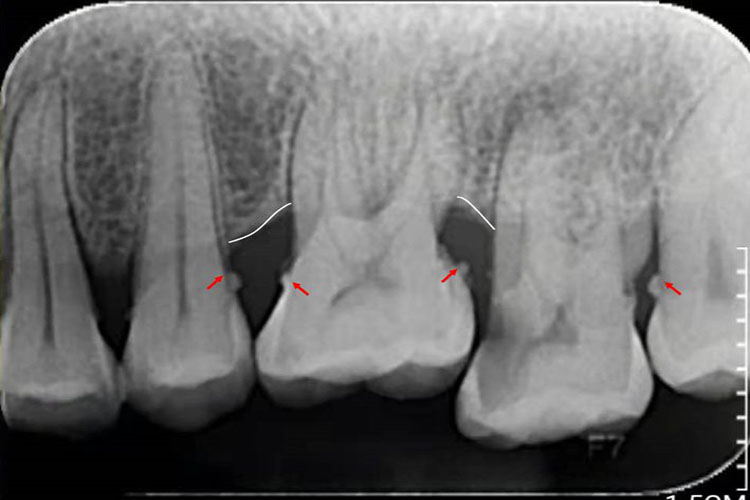
龈下牙石
这种牙结石位于龈缘以下的牙面上,肉眼不可看到,可在X线上观察到,或需要探针探到。龈下牙石一般颜色较深,呈褐色或黑色,体积较小,质地较坚硬,与牙根表面的附着也较龈上牙石更牢固。龈下牙结石在任何牙位上都可形成,但以牙齿邻面和舌侧面较多。


病因
牙结石是沉积在牙面或修复体上已钙化或正在钙化的菌斑及沉积物,由唾液或龈沟液中的矿物盐逐渐沉积而成。口腔卫生习惯不良、常吃细软精细食物等可加剧牙结石的发生。
治疗
口腔中有牙结石的人群,需要保持良好的口腔卫生,坚持刷牙漱口。并由专业医生采用龈上洁治法、龈下刮治疗法去除牙结石,缓解症状。
参考文献
[1]张志愿.口腔科学.第9版[M].北京.人民卫生出版社.2018.37-38.
[2]孟焕新.牙周病学.第5版[M].北京.人民卫生出版社.2020.63-64.
展开
