概述
肺结核X线胸片主要表现为有密度不均匀的阴影,或有圆形或不规则形的斑片影等。但需要注意的是临床确诊肺结核还要结合其他检查。
X线表现
在临床肺结核常分为原发性肺结核、血行播散型肺结核、继发性肺结核等,不同类型的肺结核X线胸片表现也不同,具体如下:
原发性肺结核
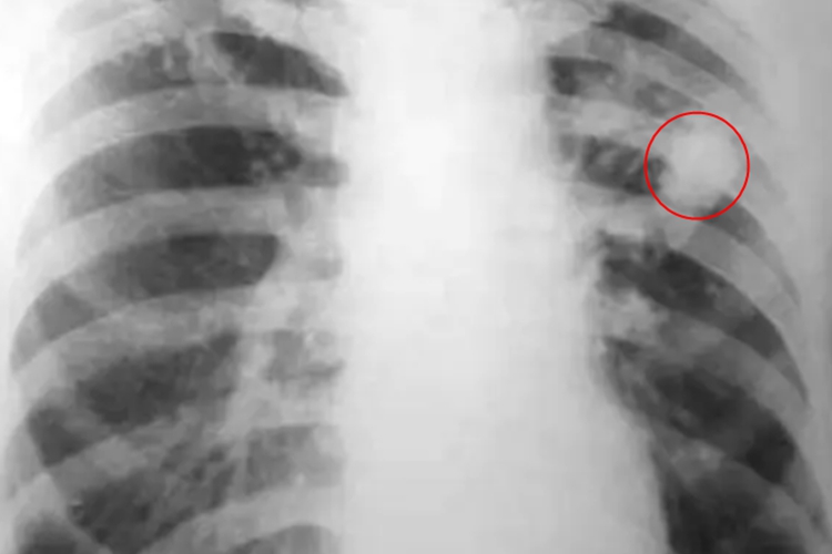
X线胸片呈哑铃形阴影,是典型的原发综合征,位于中上肺野,呈圆形、类圆形或局限性斑片影。若是肺门淋巴结结核可呈团块状、边界清晰和密度高的肿瘤型,或边界不清、伴有炎性浸润的炎症型。

血行播散型肺结核
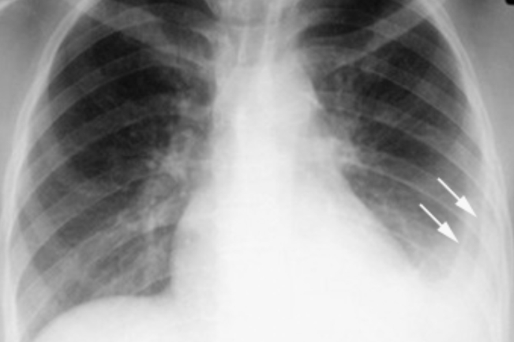
急性血行播散型肺结核:表现为由肺尖至肺底呈大小、密度和分布不均匀的粟粒状结节阴影,结节直径2mm左右。

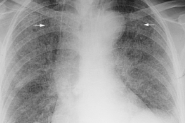
亚急性血行播散型肺结核:呈双上、中肺野为主的大小不等、密度不同和分布不均匀的粟粒状或结节状阴影,新鲜渗出与陈旧硬结和钙化病灶共存。

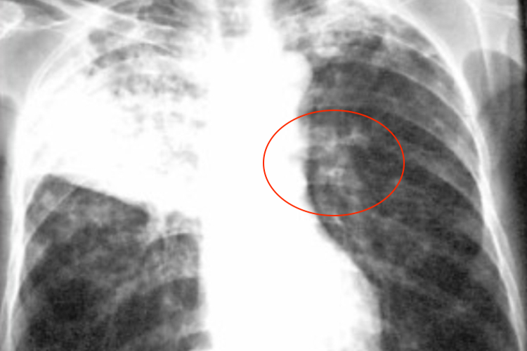
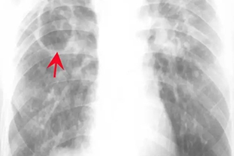
继发性肺结核
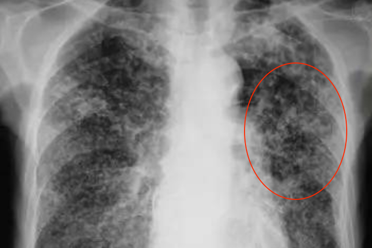
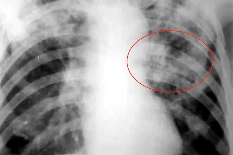
浸润型肺结核:表现为小片状或斑点状阴影,可融合和形成空洞。

结核球:表现为球内有钙化灶或液化坏死形成空洞,同时多数有卫星灶,直径2-4cm,多小于3cm。

干酪性肺炎:呈大叶性密度均匀磨玻璃状阴影,逐渐出现溶解区,呈虫蚀样空洞,可出现播散病灶。有时也可呈小叶斑片播散病灶,多发生在双肺中下部。

纤维空洞型肺结核:双侧或单侧肺野出现纤维厚壁空洞和广泛的纤维增生,造成肺门抬高和肺纹理呈垂柳样。

注意事项
在临床针对肺结核的诊断,需要结合病史、症状、影像学检查、痰结核分枝杆菌检查等,进行综合分析才能确诊,不能仅看X线表现进行评估。因此注意如果X线提示考虑肺结核,还需遵医嘱进行其他相关检查,以明确诊断,并进行有效治疗。
参考文献
[1]葛均波,徐永健,王辰.内科学.第9版[M].北京.人民卫生出版社.2018.65-68.
[2]徐克,龚启勇,韩萍.医学影像学.第8版[M].北京.人民卫生出版社.2018.123-126.
展开
