概述
儿童正常跟骨骨骺X线表现为跟骨骨骺处有小点状致密影,出现异常时会有骨骺出现移位,骺板增宽等现象。
症状
儿童正常跟骨骨骺X线表现为跟骨骨骺处有小点状致密影,随年龄增长,二次骨化中心会逐渐增大形成骨松质,边缘逐渐变光整,最后与骨干愈合。

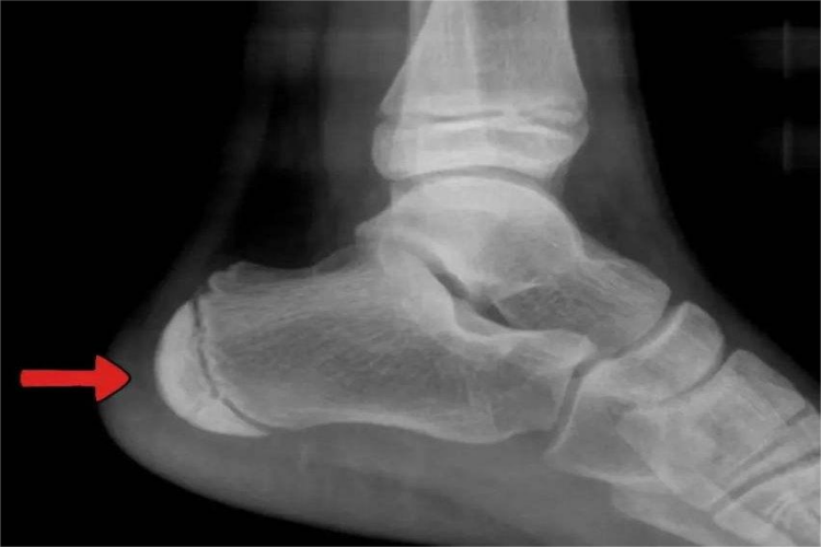
异常表现
儿童跟骨骨骺出现异常时,可能为跟骨骨骺损伤或跟骨骨骺炎,X线表现如下:
跟骨骨骺损伤:跟骨骨骺损伤时,X线表现为跟骨骨骺出现移位,骺板增宽,临时钙化带变模糊或消失。
跟骨骨骺炎:跟骨骨骺出现炎症时,X线会见到跟底结节变扁平,密度呈不均匀增高,外形不规则,呈波浪状或虫蚀状,骨骺线增宽。
参考文献
[1]韩萍,于春水.医学影像诊断学.第4版[M].北京.人民卫生出版社.2017,562.
[2]郭政,王国年.疼痛诊疗学.第4版[M].北京.人民卫生出版社.2016,164.
展开
