概述
右脚骨裂X光片主要表现为骨裂的裂纹形状、长度、宽度等,伴有疼痛及活动受限,可能与创伤或骨骼疾病等因素有关,需要及时治疗。
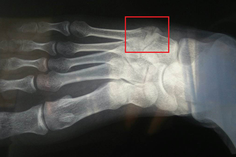
症状
右脚骨裂主要表现为骨头上出现裂纹,但并没有出现移位症状,伴有骨裂部位疼痛、肿胀、皮下淤斑等。脚部是身体活动的重要部位,出现骨裂现象后,会导致脚部活动受限。X片上可见骨裂的长度,骨裂的形状,以及骨裂缝隙的大小等。

病因
骨裂是骨折的一种,是由创伤和骨髓炎等骨骼疾病所致。而骨肿瘤所致的骨质破坏,受轻微外力即发生的骨折,称为病理性骨折。临床上以创伤性骨折多见,如直接暴力、间接暴力,或长期、反复、轻微的直接或间接磨损某一部位。
治疗
骨裂是闭合性、无移位、稳定性骨折,发生骨裂的部位需要由专业人员进行固定,常用小夹板、支具、石膏绷带等进行外固定,恢复后需遵医嘱进行功能锻炼。
参考文献
[1]陈孝平,汪建平,赵继宗.外科学.第9版[M].北京.人民卫生出版社.2018.611.614.622.
[2]姜虹.骨外科学高级医师进阶.第1版[M].北京.中国协和医科大学出版社.2016.139-140.
展开
