概述
刷牙可以清除口腔内食物残渣、软垢和牙菌斑,减少口腔内细菌的滋生。
不好好刷牙会导致口臭,还可能会导致龋齿、牙结石,甚至牙周炎等疾病的发生。
症状
刷牙是应用最广泛的保持口腔清洁的方法,能清除口腔内食物碎渣、软垢和去除牙面上的菌斑,还能按摩牙龈,从而减少口腔环境中的致病因素。如果不好好刷牙,可能会导致牙结石、龋齿,甚至牙周炎等情况的发生。
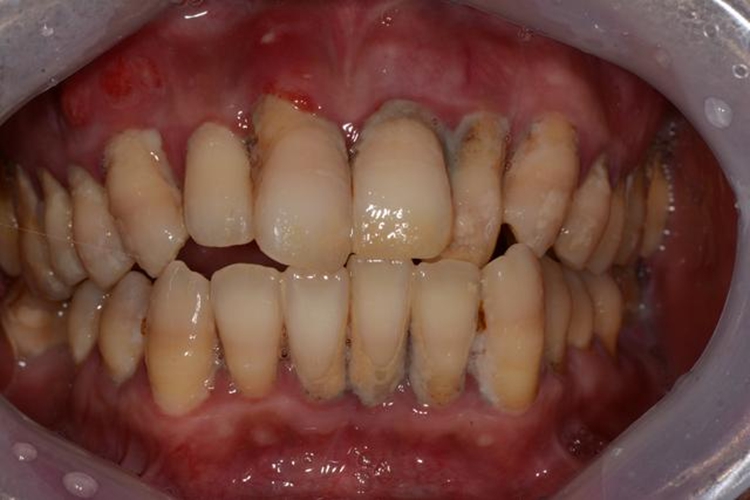
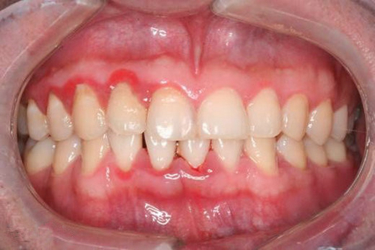
牙结石:可有牙齿发黄、口臭、牙龈出血等症状表现。

龋齿:牙齿病变部位多由半透明的黄色变为浅褐色或黑褐色,随病情进展,还可伴有牙龈出血、牙痛等症状。

牙周炎:患者可有牙龈红肿、齿间出血、牙齿松动等症状表现。

病因
不好好刷牙可能会导致龋齿、牙结石、牙周炎等症状的出现。
龋齿:进食后不好好刷牙,食物残渣堆积容易滋生细菌,细菌的代谢产物可以破坏牙齿和牙周组织,酸能使牙齿的无机物脱矿、有机物溶解,形成窝洞,成为龋齿。同时食物本身含有的糖类、碳水化合物等成分,在细菌的代谢作用下,产生酸性物质,进而也会破坏牙齿,导致龋齿。
牙结石:牙结石是由于食物残渣、唾液中的矿物质,在菌斑的酸蚀作用下堆积、附着在牙齿上的一种衍生物,不易脱落,其形成原因与唾液成分、饮食习惯和口腔卫生习惯等因素有关。
牙周炎:牙周炎是多因素疾病,如牙石、食物嵌塞、不良修复体、牙排列拥挤、解剖形态的异常等,均可成为牙周炎的局部促进因素。另外营养代谢障碍、内分泌紊乱、牙龈炎等疾病具有可能导致牙周炎的出现。
治疗
日常应养成良好的口腔习惯,如出现牙结石、龋齿、牙周炎等情况应及时就医治疗。
牙结石:可通过龈上洁治术或龈下刮治术去除牙结石。
龋齿:对破坏不严重的牙齿,可通过牙钻清除以损害的部分,并进行填充。损害严重无法加以填充的牙齿,通常需要使用牙冠。如果一经深入到牙髓,则应及时进行根管治疗。
牙周炎:对于症状较轻的牙周炎疾病,可以通过清除牙石,配合使用复方氯已定漱口水,口服甲硝唑片等消炎药物进行治疗。对于症状较重的牙周炎,可通过翻瓣术、植骨术等手术方式进行治疗。
参考文献
[1]张志愿.口腔科学.第9版[M].北京.人民卫生出版社.2018.32.
[2]席淑新.眼耳鼻咽喉口腔科护理学.第3版[M].北京.人民卫生出版社.2014.409-411.
