概述
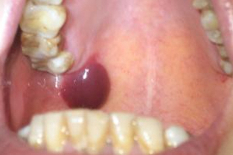
口腔突然起了个很大血包表现为鲜红或紫黑色的血疱,溃破后会形成糜烂,伴有痛感。
口腔突然起了个很大血包可能与创伤性血疱、良性黏膜类天疱疮等疾病有关。
症状
口腔突然起了个很大血包可能是创伤性血疱、良性黏膜类天疱疮等疾病所致,具体表现如下:
创伤性血疱
创伤性血疱引起的血疱往往较大,可达20-30mm,近咽喉处的大血疱可引起反射性恶心。初起疱液鲜红,看起来像血包,旋即变为紫黑色,疱壁薄容易破裂,瘀血流尽后留有鲜红色疱底创面,疼痛明显,影响吞咽。一般愈合较快,有继发感染则形成糜烂或溃疡。

良性黏膜类天疱疮
良性黏膜类天疱疮会反复出现疱壁较厚的张力性水疱或血疱,看起来像个血包,不易溃破,破溃后形成糜烂,累及牙龈会呈现龈缘弥漫性红斑,愈合后会形成白色纤维网状瘢痕。

病因
创伤性血疱、良性黏膜类天疱疮引起血包的病因不同,创伤性血疱多因食用过烫食物、咀嚼大块干硬食物或吞咽过快而擦伤口腔黏膜所致,也可因外力挫伤或误咬颊、舌黏膜造成血疱;良性黏膜类天疱疮的病因尚不明确,普遍认为属于自身免疫性疾病,好发于中、老年人。
治疗
不同原因引起的口腔突然起了个大血包需要采用不同的治疗方法,具体如下:
创伤性血疱
对未破血疱可用消毒针筒抽取疱液,或刺破疱壁放去瘀血。对已破血疱可用消毒手术剪刀修整残余疱壁,然后用防腐消毒镇痛的散剂,也可用氯己定含漱液等含漱消毒。
良性黏膜类天疱疮
良性黏膜类天疱疮出现在口腔上可以选择曲安奈德口腔软膏等糖皮质激素制药涂抹,或者选择醋酸氯己定溶液、碳酸氢钠溶液、复方硼砂溶液或聚维酮碘溶液交替含漱。
除以上相对常见的情况外,还有其他的可能性情况,例如血管瘤等,建议患者积极就医,遵医嘱行针对性的治疗。
参考文献
[1]陈谦明.口腔黏膜病学.第5版[M].北京:人民卫生出版社.2020.64.
[2]陈乃玲等主编.口腔科疾病处置要点[M].长春:吉林科学技术出版社.2019.182-185.
[3]张志愿.口腔科学.第9版[M].北京:人民卫生出版社.2018.57-60.
