概述
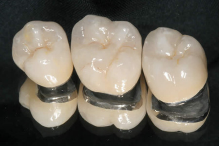
戴牙冠一般指给龋坏或缺损的牙齿戴上全冠修复体,临床常见的全冠修复体有烤瓷熔附金属全冠、全瓷冠、铸造金属全冠。
分类
根据全冠修复体的类型,可将其分为烤瓷熔附金属全冠、全瓷冠、铸造金属全冠。
烤瓷熔附金属全冠:也就是烤瓷冠,是目前最常用的修复体,兼具金属的强度和瓷的美观,其颜色、外观逼真,和自身的牙齿相比较一般看不出来,且其色泽稳定,表面光滑,耐磨。

全瓷冠:色泽稳定自然、耐磨损,且生物相容性较好,美观性更佳,目前多用于前牙区的修复。

铸造金属全冠:材料多为金属合金,常用的有金合金、银合金、镍铬合金和钴铬合金,不同材质的金属牙冠外观不同,但一般具有金属本身的色泽。铸造金属全冠具有固定力强、自身强度大、对牙的保护作用好的特点,多用于后牙区的牙齿修复。

注意事项
在进行牙冠修复后,需注意保持口腔卫生,学会正确使用牙线,保持牙周组织的健康,尽可能使牙冠修复体的寿命延长;在做完牙冠后24小时内,不要用做牙冠的牙齿咀嚼过硬、过黏的食物,日常生活中也需注意避免牙冠修复体直接咬过硬的食物,避免造成牙冠的崩裂或变形。做完牙冠修复术后需遵医嘱进行定期检查,一般建议半年到一年复查一次,如有任何不适或冠松动等异常情况,应及时就医。
参考文献
[1]张念武等主编.五官科疾病诊断与治疗[M].上海:上海交通大学出版社.2018.487.
[2]孔春燕等主编.口腔常见病临床防治下[M].长春:吉林科学技术出版社.2016.
[3]吴念主编.医疗美容护理工作手册[M].北京:中国医药科技出版社.2016.68.
展开
