概述
股骨错位可表现为下肢短缩畸形,不能活动,行走困难,患肢疼痛明显。
股骨错位多见于髋关节后脱位、股骨颈骨折等疾病,可保守或手术方法治疗。
症状
患者股骨错位的症状可见于髋关节后脱位、股骨颈骨折等疾病,可根据其具体表现区分判断:
髋关节后脱位
髋关节后脱位可表现为髋关节处于屈曲、内收、内旋弹性固定位,下肢有短缩畸形,大粗隆向后上脱位可达Nelaton线之上,患侧臀部可以触及股骨头。患者往往自觉髋部疼痛明显,患肢不能正常活动。

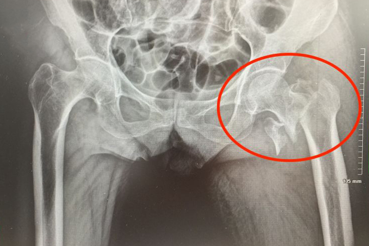
股骨颈骨折
股骨颈骨折主要表现为伤侧下肢呈45°-60°的外旋畸形,患肢缩短,Bryant三角底边缩短,股骨大粗隆顶端在Nelaton线之上。还会伴有患髋压痛、轴向叩击痛,下肢不能活动,行走困难等症状。

病因
髋关节后脱位、股骨颈骨折主要病因如下:
髋关节后脱位
髋关节的损伤病理机制主要包括屈曲的膝关节前缘受到撞击、膝关节伸直的情况下足底受到撞击、大转子受力。髋关节后脱位多由间接暴力引起。
股骨颈骨折
所有股骨颈骨折患者都有外伤史,骨折多由外旋暴力引起,不同患者引起骨折的暴力程度不同,常见的有扭曲暴力、传导暴力、医源性因素等。
治疗
髋关节后脱位、股骨颈骨折主要治疗方法包括:
髋关节后脱位
髋关节后脱位可选择保守或手术方法治疗,保守方法主要指急诊手法复位,复位方法包括Allis法、Stimson法、Bigelow法等。对于手法复位不成功的患者可选择手术方法治疗。
股骨颈骨折
股骨颈骨折保守治疗存在卧床时间长,并发症多,骨折容易移位等问题,目前多主张手术治疗。对于个别年龄过大、体质差,有严重的器质性病变,无法耐受手术者,可采用皮牵引的方法进行保守治疗。
参考文献
[1]朱定川主编,实用临床骨科疾病诊疗学[M].辽宁.沈阳出版社,2020.155.
[2]朱文龙主编,骨科疾病诊治与康复训练[M].北京.中国纺织出版社,2020.75.
展开
