概述
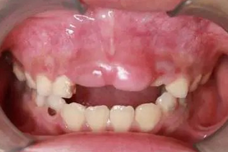
颅锁综合征以锁骨发育不全、囟门闭合延迟、乳牙滞留、恒牙迟萌、出牙不足为典型症状。
颅锁综合征全称为颅骨锁骨发育不全综合征,是一种罕见的遗传病,需对症治疗。
症状
颅骨锁骨发育不全综合征以颅缝闭合延迟及锁骨发育形成不全为主要特征,常伴有半椎体及脊柱侧弯。外貌特征有出牙不足或乳牙持续生长,鼻根下限扁平,两眼距离增宽,眉弓高,前额膨隆,二肩下垂。此外,X线可示颅缝增宽,囟门增大,锁骨完全或部分缺如。


病因
颅骨锁骨发育不全综合征是一种罕见的常染色体显性遗传病,由于中胚层发育障碍及膜内化骨和软骨化骨障碍,使骨质发育不全所致。
治疗
颅骨锁骨发育不全综合征以对症治疗为主,积极预防并发症。比如伴发脊柱侧弯,其治疗原则同其他类型,只是由于成骨障碍,骨质薄而不结实,手术矫形时易发生脱钩,要多点固定,分散钩的负荷。
参考文献
[1]叶启彬,匡正达,陈扬,吴占勇.脊柱外科新进展[M].北京.中国协和医科大学出版社.2019.72-73.
[2]徐山山,姚金丹.发育不良患者牙齿矿化不全超微结构的研究[J].实用口腔医学杂志.2015.38.
展开
