概述
牙龈长了个肉疙瘩,不痛不痒,可表现为局部出现肿物,多考虑是由药物性牙龈增生、牙龈瘤等因素导致。
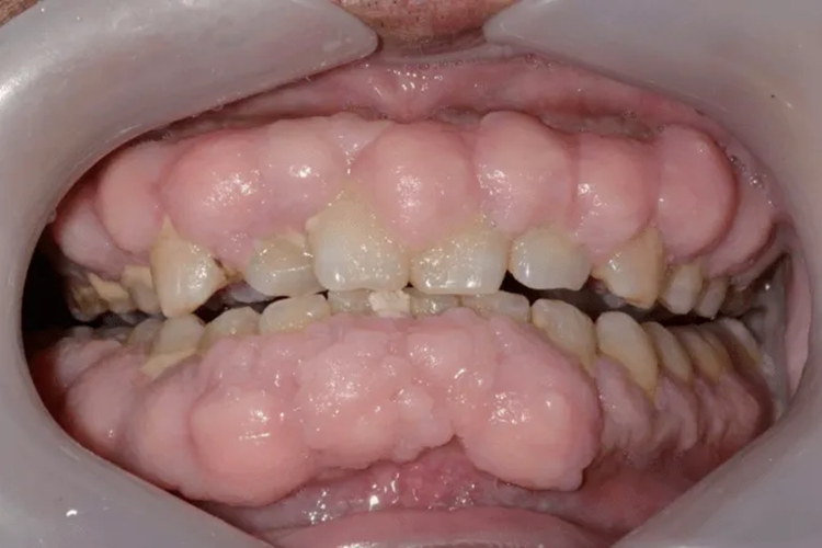
症状
牙龈组织受到刺激异常增生,可能会导致牙龈长了个肉疙瘩,仅表现为局部红肿,不痛不痒,具体症状如下:
药物性牙龈增生:一般无自觉症状,龈乳头呈球状突起、增大,互相连接,向龈缘扩展,盖住部分牙面,增生牙龈表面呈颗粒状或小叶状,质地坚韧,略有弹性,不易出血,可造成牙龈长了个肉疙瘩,不痛不痒的情况。

牙龈瘤:通常呈圆形、椭圆形,有时呈分叶状,大小不一,带蒂者,如息肉状;无蒂者,基底宽广。血管性和肉芽肿性龈瘤质软、色红;纤维性龈瘤质地较硬而韧,色粉红,一般无痛,可造成牙龈长了个肉疙瘩,不痛不痒的情况。

病因
牙龈长了个肉疙瘩,不痛不痒,可能由于多种原因导致,考虑由于药物刺激或外界刺激等因素导致。
药物性牙龈增生:服用抗癫痫药物、免疫抑制剂和钙通道阻滞剂等药物可能使已有炎症的牙龈组织发生纤维性增生。
牙龈瘤:一般认为由残根、牙石、不良修复体等局部因素导致,与机械性刺激和慢性炎症有关。
治疗
根据牙龈上长肉疙瘩的原因不同,选择不同的治疗方式,如停用相关药物或及时彻底去除局部刺激可改善症状。
药物性牙龈增生:如停止使用该种药物,同时局部去除菌斑、牙石等刺激因素,手术修正牙龈形态,保持口腔卫生以减少药物性牙龈增生的发生。
牙龈瘤:彻底去除牙石等局部刺激因素和感染源是牙龈瘤治愈的关键,同时需去除不良修复体,改善食物嵌塞,调整咬合关系消灭牙周炎症的局部促进因素。在此基础上,还需进行手术治疗,切除病灶,有助于降低复发几率。
参考文献
[1]徐国权等主编.口腔临床技术与临床实践[M].长春.吉林科学技术出版社,2019.108-109.
[2]林久祥,赵铱民主编.中华医学百科全书临床医学口腔医学3[M].北京.中国协和医科大学出版社,2019.127.
