概述
口腔肿瘤是口腔颌面部最常见的恶性肿瘤,常见的包括舌癌、牙龈癌、颊癌、腭癌等。
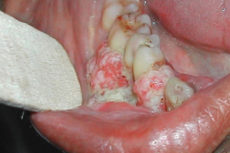
不同的口腔肿瘤,表现症状不同,如溃疡、白斑、牙龈增生、牙齿松动等。
症状
作为排名前四的口腔肿瘤,舌癌、牙龈癌、颊癌、腭癌表现各不相同。具体如下:
舌癌:常表现为溃疡及浸润同时存在,伴有自发性疼痛和程度不同的舌运动障碍。晚期可直接超越中线或侵犯口底,以及浸润下颌骨舌侧骨膜、骨板或骨质。向后则可延及舌根或咽前柱和咽侧壁,此时舌运动可严重受限、固定,涎液增多外溢,而不能自控,进食、吞咽、言语均感困难。疼痛剧烈,可反射至半侧头部。

牙龈癌:起始多源于牙间乳头及龈缘区。溃疡呈表浅、淡红,以后可出现增生。由于黏骨膜与牙槽突附着甚紧,较易早期侵犯牙槽突骨膜及骨质,进而出现牙松动,并可发生脱落。X线片可出现恶性肿瘤的破坏特征——虫蚀状不规则吸收。

颊癌:由白斑发展而来的颊癌,常可在患区查见白斑。早期一般无明显疼痛,当癌肿浸润肌肉等深层组织或合并感染时,出现明显疼痛,伴不同程度的张口受限,直至牙关紧闭。牙周组织受累后,可出现牙痛或牙松动。由于癌瘤浸润、溃疡形成,特别是伴发感染时,可引起局部继发性出血,疼痛加重。患者常有下颌下淋巴结肿大,亦可累及颈深上淋巴结群。

腭癌:常先起自一侧,并迅速向牙龈侧及对侧蔓延。多呈外生型,边缘外翻,被以渗出和血痂,触之易出血;有时亦呈溃疡型。腭癌周围的黏膜有时可见烟草性口炎或白斑存在。由于腭黏骨膜与腭骨紧贴,故易早期侵犯骨质。

病因
口腔肿瘤的病因及发病条件,是一个很复杂的问题,且是多种原因共同作用下的结果,主要与吸烟、环境污染、城市化速度加快、人口老龄化进程加速、营养膳食结构变化、不良生活方式和卫生习惯增加等。也有可能与Ⅰ型单纯疱疹病毒、人乳头瘤病感染有关。
治疗
在临床上只要明确是口腔肿瘤,一般均是尽早采取手术切除治疗,并在术后进行病理检查,必要时需要辅以放疗、化疗、内科治疗等综合治疗手段进行治疗。
参考文献
[1]许瑾,安小斌主编;章欢副主编.现代五官科常见疾病诊断与治疗[M].长春:吉林科学技术出版社,2018.179-181.
[2]王莉芬.病理学高级医师进阶第2版[M].北京:中国协和医科大学出版社,2020.306-312.
