概述
口腔厌氧菌感染的患者,会出现牙髓炎、根尖周炎或牙周脓肿,患者会有局部的疼痛以及化脓、发炎等症状,可通过药物或手术治疗。
症状
口腔厌氧菌感染的患者,会出现牙髓炎、根尖周炎或牙周脓肿,疾病不同症状表现也会不同。
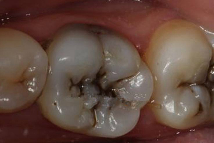
牙髓炎:患者会有疼痛,可出现自发性阵发性痛、夜间痛,同时疼痛不能定位,在冷热等外界因素刺激后疼痛会加重,探诊可发现表面有坏死。

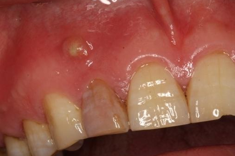
根尖周炎:患者会出现自发性剧烈持续的跳痛,根尖部牙龈潮红、叩痛明显。随病情进展,可出现根尖黏膜呈半球形肿胀,以及破溃等表现。

牙周脓肿:患者会在唇颊侧或舌腭侧牙龈面上,出现椭圆形半球状的肿胀突起,表面光亮疼痛较明显。患者还会有浮起感、波动感等不适。

病因
厌氧菌的种类较多,临床上常见消化链球菌属、厌氧链球菌属、放线菌属、梭菌属,厌氧菌感染常为内源性,即自身菌群造成的感染,皮肤黏膜屏障功能减退及正常菌群定植位置的变化均会导致患者出现牙髓炎、根尖周炎、牙周脓肿等口腔疾病。
治疗
首先要针对厌氧菌进行治疗,可以在医生的指导下使用甲硝唑片、盐酸克林霉素胶囊等抗菌药。同时可针对厌氧菌感染引起的疾病进行对症治疗。
牙髓炎:可在医生判断具体情况后,选择开髓引流、切开排脓、盖髓术、牙髓切断术、根管治疗等治疗方式进行处理。
根尖周炎:根尖周炎治疗原则是消炎止痛,严重者需在局麻下切开排脓,症状缓解后采用根管治疗。
牙周脓肿:在脓肿初期脓液尚未形成前,可轻轻清除大块牙石,冲洗牙周袋,将防腐抗菌药引袋内,必要时全身给以抗生素或支持疗法。当脓液形成且局限、出现波动时,可根据脓肿的部位及表面黏膜的厚薄,选择从牙周袋内或牙龈表面引流。
参考文献
[1]李兰娟,王宇明.感染病学.第3版[M].北京.人民卫生出版社.2015.357-362.
[2]张志愿.口腔科学.第9版[M].北京.人民卫生出版社.2018.54-60.
[3]孟焕新.牙周病学.第5版[M].北京.人民卫生出版社.2020.173-174.
