概述
发疹性黄瘤可发生在大腿,皮损表现为棕黄色质软的丘疹,直径多为1-4cm,可有瘙痒或压痛。可遵医嘱选用电灼激光、冷冻治疗。
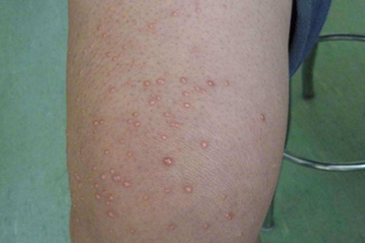
症状
发疹性黄瘤可累及大腿,可见局部有丘疹分布,分批或骤然发生,可呈橘黄或棕黄色,直径多为1-4cm,质地柔软,皮损周围有红晕,压之有时可有疼痛。患者常自觉瘙痒。

病因
发疹性黄瘤主要由于脂蛋白代谢障碍、含量增高或结构异常时,导致其在组织中沉积诱发。此外糖尿病、骨髓瘤和淋巴瘤等疾病也可能导致发病,也不排除家族史引起。
治疗
发疹性黄瘤大腿出现丘疹时,需在医生指导下治疗。可用电灼、激光、冷冻或外科手术等方法治疗。伴发高脂血症者应给予低脂饮食,同时遵医嘱服用降脂药物治疗。
参考文献
[1]张学军,郑捷.皮肤性病学.第9版[M].北京.人民卫生出版社.2018.191-192.
[2]方洪元,邢卫斌,张秉新,徐海环.实用皮肤性病手册.第1版[M].北京.人民卫生出版社.2016.510-513.
展开
