概述
特发性点状色素减退斑导致的损害可发于部分患者颈部,表现为数目不定的白斑。
本病的发生可能与皮肤色素细胞局限性老化有关,患者应遵医嘱进行治疗。
症状
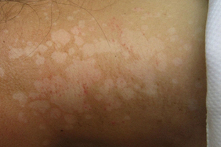
特发性点状色素减退斑累及颈部时,损害可表现为针头至黄豆大白斑,呈圆形、椭圆形或不规则形,色泽深浅不一,数目不定。随年龄增大,数目还可逐渐增多。患者无自觉症状。

病因
特发性点状色素减退斑可能是由于老年人细胞逐渐发生萎缩、减少,皮肤色素细胞局限性老化,制造皮肤色素的能力减弱以至消失,使皮肤的黑色素含量减少,出现色素脱失。
治疗
特发性点状色素减退斑无特殊治疗方法,若皮损面积较大,可口服维生素E,外用补骨脂酊等。为了不影响美观,可以外用伪装剂。
注意上述治疗均需遵医嘱进行。
参考文献
[1]虞瑞尧,漆军编著.老年性皮肤病诊疗图谱[M].北京.中国医药科技出版社.2012.237.
[2]虞瑞尧编著.皮肤病鉴别诊断彩色图谱[M].北京.人民军医出版社.2012.30.
[3]吴志华,史建强,李定.皮肤性病诊断与鉴别诊断[M].北京.科学技术文献出版社.2018.686-687.
[4]赵凤莲主编.皮肤病性病诊疗手册[M].北京.人民军医出版社.2011.447.
展开
