概述
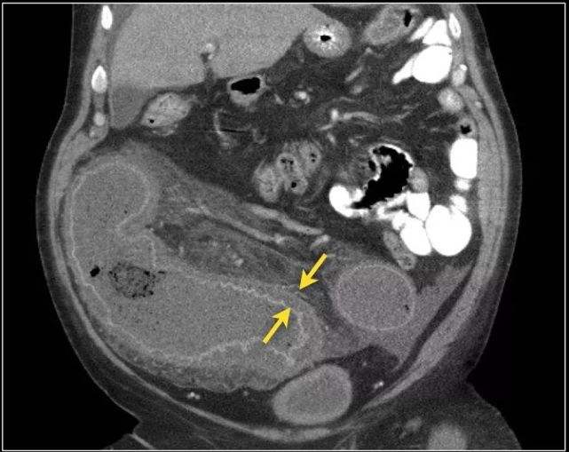
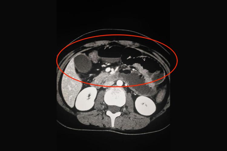
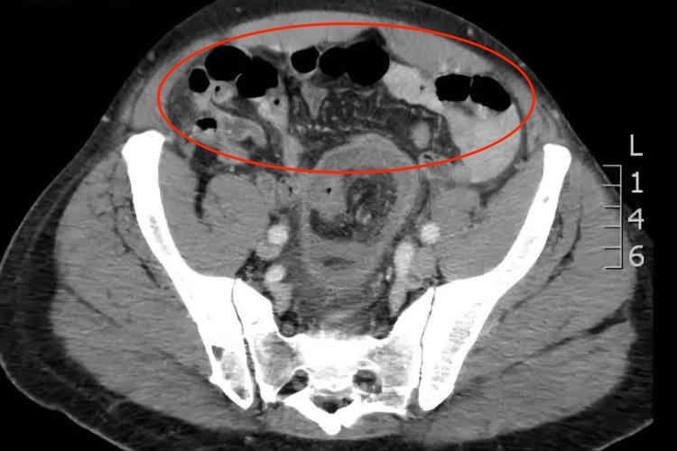
肠梗阻CT影像主要表现为肠管充气扩张,也可见气-液平面、肠壁增厚以及肠管直径增大,同时患者可伴有腹痛、呕吐、腹胀等症状。
CT表现
CT虽然不是诊断肠梗阻的主要方法,但有时有助于病因的诊断。肠梗阻时CT可显示扩张的肠曲,并可见多个肠腔内气-液平面、肠壁增厚以及直径增大。如果肠管互相融合成团,或与腹壁相连,提示为粘连性肠梗阻。如有肠套叠,则可显示出典型CT征象,出现三层肠壁征。患者还可出现腹痛、呕吐、腹胀等症状。




处理方法
肠梗阻的患者要进行胃肠减压,并及时输液,纠正脱水以及电解质紊乱,临床上最常用的是葡萄糖生理盐水,如梗阻已存在数日,还需遵医嘱补充钾。如果有病原体感染时,可应用抗生素治疗。
参考文献
[1]韩萍,于春水主编.医学影像诊断学.第4版[M].北京.人民卫生出版社.2017.451.
[2]田淇第, 陈爱武主编.消化系统慢性疾病诊断与治疗[J].郑州.河南科学技术出版社.2021.139-140.
[3]施宝民,艾开兴主编.老年普通外科学.第1版[M].上海.上海科学技术出版社.2016.360.
展开
