概述
小孩扎到眼球可造成眼球内多种结构的损害,如角膜损伤、晶状体挫伤等,会出现眼红、疼痛、畏光等不适,需及时就医治疗。
症状
小孩扎到眼球可导致眼球内出现不同损伤,如角膜挫伤、晶状体挫伤、玻璃体积血等,具体如下:
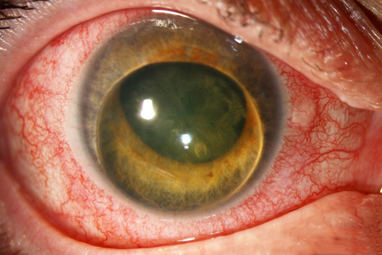
角膜挫伤:儿童角膜浅层擦伤时会出现眼红、疼痛、眼睑痉挛、畏光和流泪等眼角膜刺激症状,伴有视力减退;角膜基质层损伤可出现局部的水肿、增厚以及浑浊;角膜破裂可见裂口、虹膜脱出或嵌顿,前房变浅或小时,瞳孔呈梨形。

晶状体挫伤:晶状体挫伤可出现房水传导作用于晶状体,引起囊膜破裂、变性或晶状体上皮层损伤,促使晶体浑浊,影响晶体代谢,导致白内障。

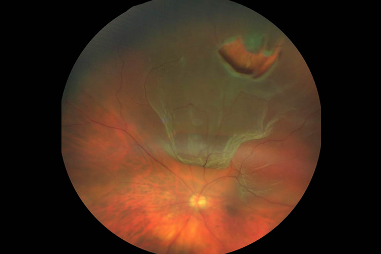
玻璃体积血:玻璃体积血由睫状体、视网膜或脉络膜血管破裂引起,有少量出血,前期出血比较局限,后期可逐步散开,出血量多时,可不见眼底,视力受到严重损害。

脉络膜破裂:外力传导脉络膜,导致破裂与出血,但因视网膜弹性较大,可不受影响,但严重损伤时,视网膜也会出现破裂,可导致视力减弱。

视网膜震荡与挫伤:外伤可导致视网膜震荡与挫伤,患者后极部会出现一过性视网膜水肿,视网膜轻度灰白,患儿可出现视力下降。

视网膜裂孔与脱离:视网膜裂孔与脱离可立即出现,或在水肿后,或脉络膜破裂视网膜下出血后,会严重影响视力。

视神经撕脱:如果眼球受力旋转,向前移位,挤压导致眼内压突然升高引起筛板破裂、眼眶穿通伤,导致视神经向后牵拉,引起撕脱,可见视盘处呈坑状凹陷,后部出血,视力完全丧失。

眼球破裂:眼球破裂是由于严重眼球扎伤导致,表现为前房及玻璃体积血,球结膜出血水肿,角膜变形等。

病因
砖石、拳头、球类、跌撞、交通事故以及爆炸的冲击波,是小孩扎到眼球的常见原因。除在打击部位产生直接损伤外,由于眼球是个不易压缩的球体,钝力在眼内和球整传递,也会引起多处间接损伤。
治疗
由于小孩扎到眼球引起的症状不同,治疗方式存在一定区别,具体如下:
角膜挫伤:角膜挫伤可遵医嘱涂抗生素眼药膏,如红霉素眼膏后包扎,促进上皮愈合,前弹力层损伤时,则愈合变慢。虹膜睫状体损伤患儿,可遵医嘱使用糖皮质类固醇滴眼液,必要时可使用散瞳剂。
晶状体挫伤:晶状体全脱位向前嵌顿于瞳孔或脱入前房,往往引起角膜内皮损伤和继发性青光眼,需急诊手术摘除。晶状体半脱位或向后全脱位于玻璃体腔时,可能会造成玻璃体疝,导致瞳孔阻滞而眼压升高,引起继发性青光眼,也需要急诊手术摘除。如果眼压不高,重度半脱位和脱位于玻璃体腔的晶状体应该择期摘除。
玻璃体积血:单纯玻璃体积血,用复方血栓通等活血化瘀的中成药及碘剂促进积血吸收。如果3个月左右仍不能吸收,则可择期行玻璃体切割术,如果伴有视网膜脱离,则应尽早手术治疗。
脉络膜破裂:临床中尚无有效治疗方式。
视网膜震荡与挫伤:视网膜震荡与挫伤可应用糖皮质激素、神经营养药、血管扩张剂、维生素类等药物治疗,如甲钴胺片、腺苷钴胺片等,但其疗效尚未肯定。
视网膜裂孔与脱离:黄斑裂孔严重影响视力,且无有效治疗。其他部位的视网膜裂孔或锯齿缘离断,会引起视网膜脱离,应手术治疗。
视神经撕脱:临床尚无有效治疗方式。
眼球破裂:眼球破裂伤急需进行清创缝合术,两周左右行玻璃体手术,可能保留眼球,甚至有一定有用视力。如果眼球结构已彻底破坏,无法修复,可行眼球摘除术。
参考文献
[1]高秀华等主编.现代眼科疾病诊断与治疗[M].上海:上海交通大学出版社,2018.220-222.
[2]杨培增,范先群.眼科学.第9版[M].北京.人民卫生出版社.2018.269-272.
