概述
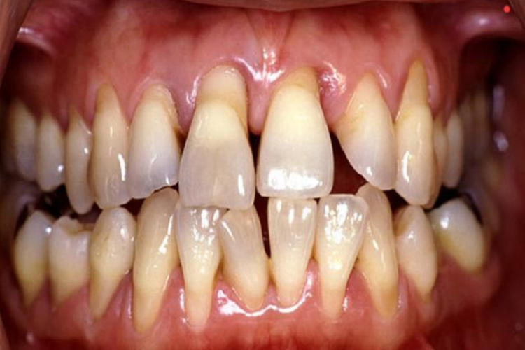
牙根严重外露证明已出现牙周病。牙周病可累及深层牙周组织(牙周膜、牙槽骨、牙骨质),是危害全身健康的常见口腔疾病。
症状
牙根严重外露证明已经出现牙周病。临床表现为牙龈炎症、出血、牙周袋形成、牙周脓肿;牙槽骨吸收,继而发生牙槽骨高度降低,此时牙龈会随着牙槽骨的吸收而下降。牙颈部、牙根就会逐渐暴露出来。其他还可表现为牙齿松动、移位,咀嚼无力,严重者牙齿可自行脱落造成牙齿的缺失,剩余牙支持力差,造成修复治疗困难。可伴有疼痛、溢脓、口臭等并发症。

病因
牙根严重外露的病因包括局部因素和全身因素。具体如下:
局部因素:牙菌斑是主要致病因素,以革兰阳性球菌为主,造成牙齿龋坏,形成牙结石,主要成分为细菌和产物,牙结石附着在牙面上,未及时清理,最终可导致牙周病的发生,从而可产生牙根外露的情况。
全身因素:牙周疾病同样也会受到全身因素的影响,当机体的抵抗力下降时,往往会使牙周组织抵抗细菌的能力下降,从而促进牙龈炎症和牙周疾病的发展,最终可发展到牙根严重外露。
治疗
对于出现牙根严重外露的患者,需尽早进行牙周病治疗,包括基础治疗和药物治疗。
基础治疗:消除始动因素菌斑与牙结石,主要方法是龈上洁治、龈下刮治,根面平整,抛光等。
药物治疗:基础治疗去除菌斑之后,可加入药物配合治疗,有助于牙周炎症消退,恢复健康,牙槽骨炎症吸收停止,从而使患牙松动度得以改善。
参考文献
[1]章圣朋,梁源,黎祺主编.口腔临床药物学[M].上海:同济大学出版社,2020.209.
[2]马莉莉编著.现代口腔科疾病诊疗新进展[M].长春:吉林科学技术出版社,2019.47.
展开
