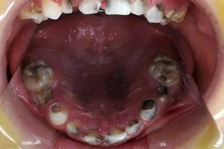
小孩不刷牙牙齿坏掉,多是发生了龋齿。可表现为牙齿上出现黑点或白点、龋洞等表现。可能是牙菌斑内细菌产酸腐蚀牙齿所致。
小孩不刷牙牙齿坏掉,多是发生了龋齿,龋齿根据累及的层次可分为浅龋、中龋、深龋,龋坏程度不同,症状表现不同。
浅龋:此时龋坏只在牙釉质层,牙齿表面可出现黑色、白色或黄色斑点,一般无明显龋洞,无自觉症状。

中龋:此时病变达到牙本质浅层,龋损部位牙本质呈黄褐色或深褐色,可在牙齿表面形成龋洞,并且对冷、热、酸等刺激较为敏感,刺激去除后症状立即消失。

深龋:此时病变已达到牙本质深层,在牙齿表面可出现深龋洞,并且可出现持续性疼痛或自发性阵痛。

龋病是牙体硬组织的慢性细菌性、进行性破坏性疾病,形成龋病的因素主要有宿主、口腔微生物、碳水化合物类食物等。基本发病过程是口腔微生物黏附在牙表面形成牙菌斑生物膜,小孩若不刷牙可导致口腔微生物在牙菌斑生物膜微生态环境中利用糖类食物代谢产酸,并长期堆积在牙表面引起脱矿,形成龋损。
小孩发生龋齿后,首先要阻止龋齿的发展和蔓延,及时去除龋坏的组织,并使用封闭材料封闭窝沟。对于损害程度较深的牙齿可选择充填修复或嵌体修复。如果龋坏程度较重,没有修复意义时,可进行拔除治疗,日常需注意口腔卫生,认真刷牙,饭后漱口避免发生龋坏。
[1]张震康,俞光岩,徐韬.实用口腔科学.第4版[M].北京.人民卫生出版社.2016.22-33.
[2]张志愿.口腔科学.第9版[M].北京.人民卫生出版社.2018.43-45.