概述
口腔尖锐湿疣可见于舌侧,皮损可表现为疙瘩,多呈乳头状,可逐渐增大或融合。本病是因感染人乳头瘤病毒所致。
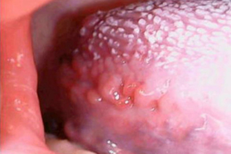
症状
口腔尖锐湿疣部分患者可发生于舌侧,检查可见局部有疙瘩形成,多为疣状结节,单个或多个,可呈乳头状,稍微隆起于黏膜表面,多无疼痛,可逐渐增大或融合。患者可有异物感。

病因
口腔尖锐湿疣是因感染人乳头瘤病毒所致,过早性生活、多个性伴侣、免疫力低下、吸烟及高性激素水平等均为发病的高危因素。口腔感染人乳头瘤病毒主要是通过口交途径传播,接触被污染的浴巾、浴盆等也可感染。
本病患者发病期间或者发病前后,曾与尖锐湿疣感染者或处于潜伏期者有过口交行为。因为口交行为可造成局部充血,抵抗能力的下降,从而引发感染。
治疗
口腔尖锐湿疣需遵医嘱治疗,其治疗原则是外治为主,内治为辅。其中鬼臼毒素酊为首选的外用药,其他外用药物还包括氟尿嘧啶软膏、咪喹莫特乳膏等。也可在医生下使用物理疗法,如液氮冷冻、光动力学治疗、电灼等。系统治疗可用干扰素、左旋咪唑等药物。在完全治愈前,应嘱患者避免性生活。
参考文献
[1]陆海涛.临床皮肤性病学 下 第2版[M].吉林科学技术出版社.2019.308.
[2]陈谦明.口腔黏膜病学.第5版[M].北京.人民卫生出版社.2020.142-143.
展开
