概述
尘肺是肺尘埃沉着病的简称,尘肺一期的高千伏胸片主要表现为有总体密集度1级的小阴影,或者出现胸膜斑,需立即脱离不良环境。
表现
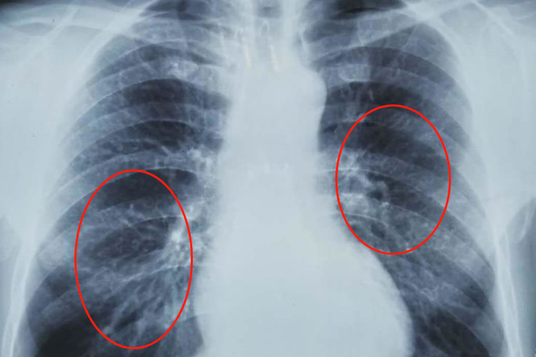
尘肺是肺尘埃沉着病的简称,是指在职业活动中长期吸入生产性矿物性粉尘,并在肺内潴留而引起的以肺组织弥漫性纤维化为主的疾病。尘肺一期的高千伏胸片常表现为有总体密集度1级的小阴影,分布范围为1-2个肺区,可同时出现胸膜斑。

注意事项
确诊尘肺病后,应立即脱离粉尘作业,此外还应戒烟,避免生活性粉尘,定期体检等。建议患者尽快就诊,可在医生指导下应用沙丁胺醇气雾剂、氨茶碱缓释片等平喘治疗,舍雷肽酶肠溶片等祛痰治疗。
参考文献
[1]韩萍,于春水.医学影像诊断学.第4版[M].北京.人民卫生出版社.2017.230.
[2]菅吉华主编.临床疾病影像诊断[M].吉林.吉林科学技术出版社.2019.112.
展开
