概述
肺结核是由人型或牛型结核杆菌引起的肺部慢性传染病。
肺结核可分为原发型肺结核、血行播散型肺结核、继发型肺结核等,而X光表现各有不同。
X线表现
肺结核主要可分为原发性肺结核、血行播散型肺结核、继发性肺结核等,而三者的X线表现各有不同。
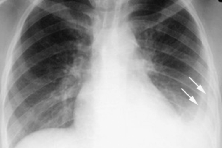
原发性肺结核
典型表现呈“哑铃”状,邻近胸膜处的肺内原发病灶,多位于中上肺野,呈圆形、类圆形或局限性斑片影。若有淋巴管炎可出现自原发性病灶向肺门走行的不规则条索状影。若有肺门、纵隔淋巴结增大,可表现为肺门影增大或纵隔淋巴结增大,并突向肺野。

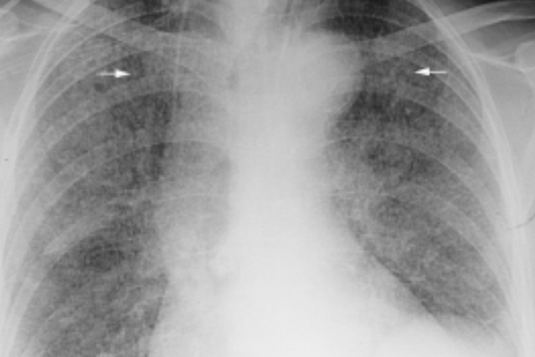
血行播散型肺结核
急性血行播散型肺结核表现为两肺弥漫分布的粟粒状影,粟粒大小为1-3mm,边缘较清晰。典型表现为“三均匀”,即分布均匀、大小均匀和密度均匀。

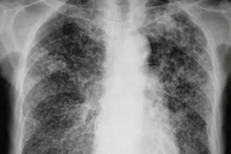
亚急性血行播散型肺结核表现为双肺上、中野粟粒状或较粟粒更大的小结节影,其大小不一、密度不等分布不均,即“三不均匀”。肺尖部及锁骨下病灶可为硬结、钙化及纤维化,其余病灶呈增殖或渗出性改变。

继发性肺结核
浸润型肺结核表现为肺尖或锁骨上下区大小不等的片状或云絮状密度增高阴影,中心密度较高而边缘模糊。范围较大时可呈肺段或肺叶浸润,往往有渗出、增殖、空洞等病灶并存。

干酪性肺炎表现为一个肺段或大叶的大部呈致密性实变,轮廓与大叶性肺炎相似,但密度较大叶性肺炎高。

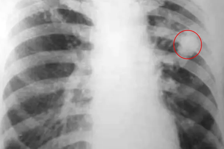
结核球表现为圆形或椭圆形密度增高的阴影,边缘较清楚,整齐、轮廓光滑,偶见较浅的分叶,一般密度均匀,病灶直径大多在2-3cm,大于5cm者少见,结核球中心的干酪灶可液化形成空洞。结核球附近可有卫星灶。

慢性纤维空洞性肺结核一侧或两侧肺上野呈大片致密影,密度不均,其中有单个或多个大小不等的厚壁空洞、广泛的纤维索条影。

治疗
肺结核的治疗主要包括对症治疗和病因治疗。
对症治疗:对于少量咯血的肺结核患者,多以安慰病人,消除紧张和卧床休息为主,可用氨基己酸、酚磺乙胺、卡巴克洛等药物止血。大咯血者可给予垂体后叶素。
病因治疗:肺结核多是由于结核杆菌感染所致,建议在医生的指导下,遵循早期、规律、全程、适量、联合的原则,合理地使用异烟肼、利福平、吡嗪酰胺、乙胺丁醇、链霉素等抗结核药物,以促进病人的恢复。
参考文献
[1]王克俭.甘南结核病防治[M].兰州.甘肃文化出版社,2013.343-348.
[2]葛均波,徐永健,王辰.内科学.第9版[M].北京.人民卫生出版社.2018.69-74.
[3]徐克,龚启勇,韩萍.医学影像学.第8版[M].北京.人民卫生出版社.2018.123-126.
