概述
轻度牙周袋由病理性加深的龈沟形成,是牙周炎最重要的病理改变之一,袋内存在有菌斑、软垢等物质,需要进行基础性牙周治疗。
症状
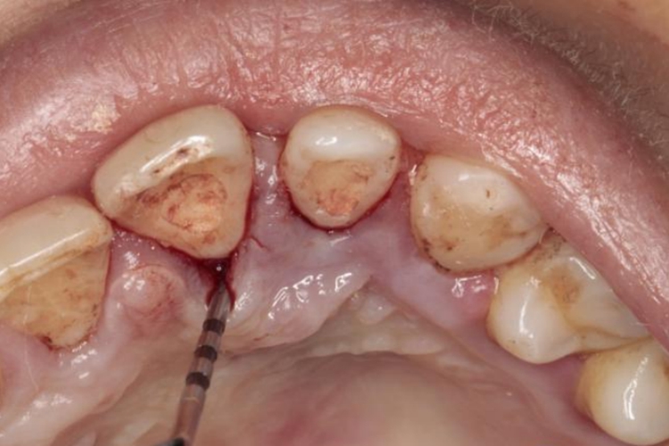
轻度牙周袋是龈沟病理性加深后在牙根与牙龈之间形成的开口于冠方的盲袋。轻度牙周袋内容物成分复杂,含有菌斑、软垢、龈沟液、食物残渣等,具有较大的毒性。袋壁软组织可受根面龈下牙石的机械刺激和炎性反应的多重影响,从而引起袋内出血。

病因
牙周袋的形成始于牙龈结缔组织中的炎症,炎症细胞、中性粒细胞等可侵入结合上皮,影响上皮细胞的连接和营养,使靠近冠方的结合上皮即从牙面剥离,使龈沟底移向根方面而形成牙周袋。
治疗
轻度牙周袋需要进行基础性牙周治疗,如洁治、刮治、咬合调整等处理。如果复诊时经评估后仍有深牙周袋时,也可考虑进行牙周手术治疗,消除深部感染和炎症,并纠正解剖形态,促进牙周组织的修复和再生。
参考文献
[1]樊明文主编.中华医学百科全书2临床医学口腔医学[M].北京.中国协和医科大学出版社.2018.70-71.
[2]孟焕新.牙周病学.第5版[M].北京.人民卫生出版社.2020.102-103.
展开
