概述
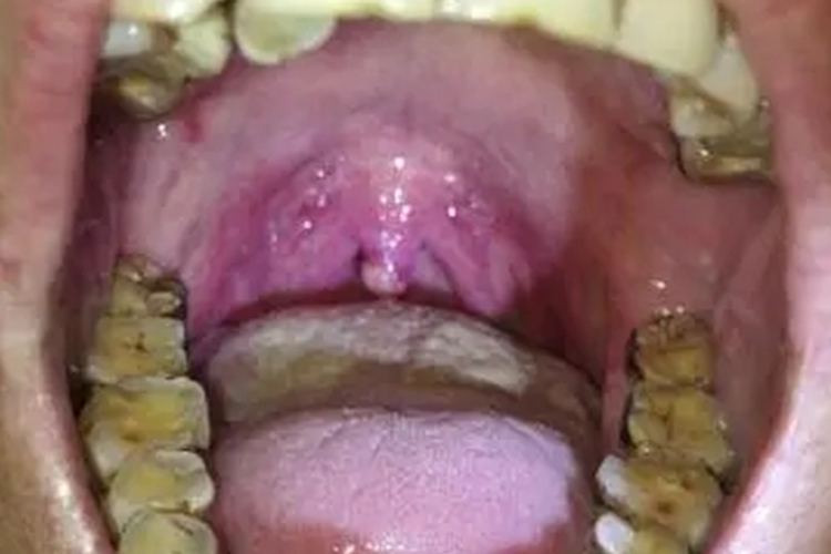
悬雍垂乳头状瘤主要表现为表面呈颗粒状,色白或淡红色,根部带蒂或较宽广。
悬雍垂乳头状瘤多为良性肿瘤,其发病原因不明,可能与环境因素、病毒感染、等有关。
症状
悬雍垂乳头状瘤瘤体较小时多无自觉症状,常于体格检查或检查咽部其他疾病时,偶然发现。表面呈颗粒状,色白或淡红色,根部带蒂或较宽广。肿瘤较大时,可出现咽干、痒、异物感等,甚至可出现吞咽、呼吸及发声功能障碍。

病因
悬雍垂乳头状瘤发病原因不明,可能与环境因素、病毒感染、炎症刺激、变态反应、基因等因素有关。
治疗
肿瘤较小者,可采用激光、电凝、冷冻等治疗;肿瘤较大时,需采用手术治疗,通常采用经口进路,肿瘤累及咽旁间隙或颈部时,需采用经颈侧进路或下窝进路。
参考文献
[1]孙虹,张罗.耳鼻咽喉头颈外科学.第9版[M].北京.人民卫生出版社.2018.295-296.
[2]王佃亮,陈火明.肿瘤科医师处方[M].中国协和医科大学出版社.2018.386.
展开
