概述
牙齿深覆(牙合)又称深覆(牙合),表现为上前牙或下前牙切缘覆盖较多对应牙面,可能是遗传等因素引起,需积极进行矫正治疗。
症状
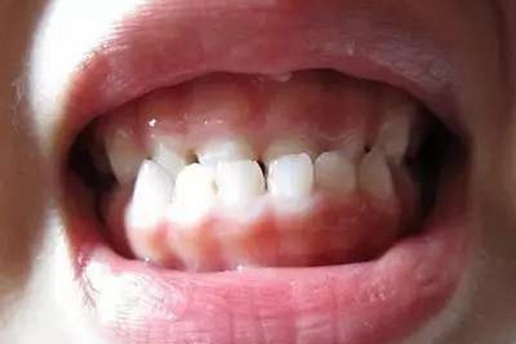
深覆(牙合)是上下牙弓及颌骨垂直向发育异常所致的错(牙合)畸形,主要表现为上前牙切缘覆盖下前牙牙冠唇面长度1/3以上,或下前牙切缘咬合与上前牙舌面切1/3以上。


病因
深覆(牙合)病因包括遗传性因素,如上下颌骨间大小、形态发育不调时,可导致深覆(牙合)。另外,也包括全身因素,如儿童时期存在全身慢性疾病致颌骨发育不良,后牙萌出不足,后牙槽嵴高度发育不足,也会引起深覆(牙合)。
治疗
深覆(牙合)的患者可以使用上颌活动矫治器,平面导板上附双曲舌簧,矫正上切牙内倾的同时矫正深覆(牙合),让下颌及下切牙自行调整,待上切牙牙轴改正,深覆(牙合)改善后,视下颌情况作活动或固定矫治器排齐下前牙,改正下切牙内倾和曲度过大的矢状曲线。
参考文献
[1]王兆林,赵新春,刘军华.口腔疾病治疗理论与实践[M].长春.吉林科学技术出版社.2019.05.144-145.
[2]张志愿.口腔科学.第9版[M].北京.人民卫生出版社.2018.220.
展开
