概述
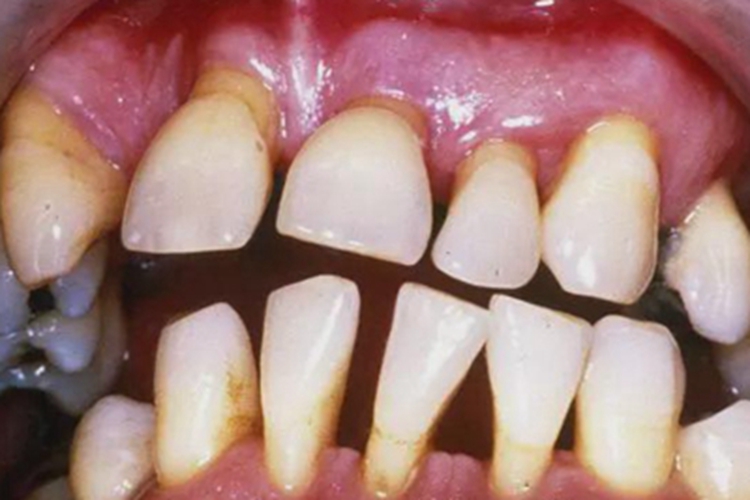
牙龈萎缩可表现为多颗牙齿牙缝宽大,牙根显露过多,牙齿又尖又长。
该病可能是牙菌斑滞留、刷牙不当、正畸治疗等因素引起的,需遵医嘱进行相应治疗。
症状
牙龈萎缩可表现为多颗牙齿牙缝宽大,牙根显露过多,牙齿又尖又长,且牙根上附着较多发黄的牙垢,局部牙龈明显红肿。

病因
牙龈萎缩可能是牙菌斑滞留、刷牙不当、正畸治疗、咬合力过大以及解剖因素等因素引起的。另外,如果患有牙周炎,经过治疗后炎症消退,也可表现为牙龈退缩。
症状
对于牙龈萎缩牙缝宽大牙齿变尖的情况,首先应该及时前往医院就诊,完善X线检查等,明确严重程度。通常可根据个人情况在医生指导下采用一般治疗、药物治疗、手术治疗等方法治疗,具体如下:
一般治疗:建议患者保持良好的口腔卫生,学习正确的刷牙方式,日常可用牙线、冲牙器清洁牙齿,定期做口腔检查及深度清洁。
药物治疗:可在医生指导下口服甲硝唑片、盐酸米诺环素胶囊、盐酸多西环素片等药物消炎抗菌治疗。
手术治疗:可在医生指导下选择龈上洁治术、龈下刮治术等清除牙齿颈部的牙结石,也可以通过使用翻瓣术、膜龈手术等进行治疗,将露在外面的牙根覆盖。
参考文献
[1]曲兆明.口腔种植与牙周病诊治技术[M].天津:天津科学技术出版社,2018:277.
[2]樊明文.临床医学口腔医学[M].北京:中国协和医科大学出版社,2018:95.
展开
