概述
棘球蚴病可累及头部,检查见脑内有囊肿样物质存在,可伴有疼痛,是食入了被棘球绦虫虫卵或孕节污染的水或食物所致,遵医嘱治疗。
症状
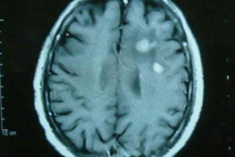
棘球蚴病可发生于头部,检查可见脑膜下散在的几个白色囊肿样物质,并同时存在几条线条状虫体,伴有头痛等不适感。其发展极其缓慢,潜伏期长,从感染至发病为10-20年或更长,多数患者在儿童期感染,成年期发病。


病因
棘球蚴病是由于人如果食入了被棘球绦虫虫卵或孕节污染的水或食物后,其在肠内孵化出六钩蚴,穿过胃或十二指肠壁随着血液或淋巴液进入门脉系统,然后到达全身各个器官,经过3-5个月发育成棘球蚴,棘球蚴内有大量的原头蚴。
治疗
棘球蚴病治疗可遵医嘱口服阿苯达唑或吡喹酮。如果内脏器官中的包虫囊太大以及皮肤、肌肉的棘球蚴病可手术切除,但术中不得弄破囊壁,术前也禁忌穿刺,以防囊液外溢引起变态反应。
参考文献
[1]朴永君.皮肤性病学 高级医师进阶.第1版[M].北京.中国协和医科大学出版社.2016.210.
[2]王宝玺主编.中华医学百科全书 临床医学皮肤病学[M].北京.中国协和医科大学出版社,2017.140.
展开
