概述
小儿口腔疱疹表现为口腔黏膜内有薄壁水疱,破溃后可形成糜烂面,常见于疱疹性口腔炎、疱疹性口腔炎、手足口病。
小儿口腔疱疹一般是由病毒引起,疱疹性口腔炎是由于单纯疱疹病毒感染所致,手足口病和疱疹性咽峡炎多由柯萨奇病毒引起。
症状
小儿口腔疱疹在临床上多见于疱疹性口腔炎、疱疹性口腔炎、手足口病累及口腔时的表现。
疱疹性口腔炎
1~3岁幼儿最常见的口腔疱疹。常好发于颊黏膜、齿龈、舌、唇内、唇红部及邻近口周皮肤。起病时发热可达38℃~40℃,1~2天后上述各部位口腔黏膜出现单个或成簇的小疱疹,直径约2mm,周围有红晕图,迅速破溃后形成溃疡,有黄白色纤维素性分泌物覆盖,多个溃疡可融合成不规则的大溃疡,有时累及软腭,舌和咽部。由于疼痛剧烈,患儿可表现拒食,流涎、烦躁。

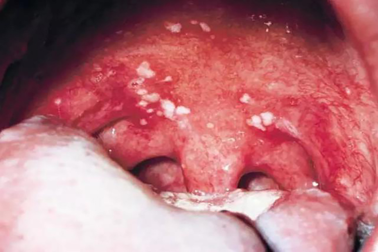
手足口病
小儿皮损以口腔疱疹最多见,也累及手足。口内颊黏膜、软腭、舌缘及唇内侧散在的红斑及小疱疹,疱壁薄、疱液清亮,多与皮疹同时出现,或稍晚1~2天出现。口腔内疱疹极易破溃成糜烂面,上覆有黄色假膜,周围黏膜充血红肿。

疱疹性咽峡炎
3~10岁儿童常见,潜伏期4~14天。常突然发病,高热,伴头痛、倦怠、咽痛、吞咽困难、食欲缺乏、呕吐等,较大儿童可有颈背疼痛。发病4~5天,口腔黏膜出现灰白色丘疱疹或小水疱,直径1~2mm,周嗣绕有红晕,多见于硬腭、软腭、扁桃体、悬雍垂、咽后壁等,一般少于12个。24小时内单个或融合的水疱破溃形成浅溃疡,直径一般小于5mm。口腔溃疡一般在1周左右愈合。部分患儿有颌下和颈部淋巴结肿大或压痛。

病因
小儿口腔疱疹的主要病因是病毒感染。疱疹性口腔炎是由单纯疱疹病毒1型感染所致;手足口病主要感染病原体为肠道病毒71型和柯萨奇病毒A16型;多种肠道病毒可引起疱疹性咽峡炎,其中以柯萨奇病毒A组1~10型、12型、16型、22型,肠道病毒71型,柯萨奇病毒B组1~5型为常见,艾柯病毒、双艾柯病毒、腺病毒、单纯疱疹病毒等也可引起此病。
诊断
根据流行病学史、典型的口腔黏膜病变和病原学检查来进行诊断。通过病毒分离、特异性抗体检测以及组织的病毒抗原和核酸检测,确定感染的病原体即可确诊。
治疗
小儿口腔疱疹临床上多见于疱疹性口腔炎、手足口病、疱疹性咽峡炎,具体治疗方法如下。
疱疹性口腔炎
保持口腔清洁,多饮水,以微温或凉的流质食物为宜,避免刺激性食物。局部可喷洒西瓜霜、锡类散等。疼痛严重者可在餐前用2%利多卡因涂抹局部。
手足口病
患者需要进行隔离。本病主要采取对症治疗,适当休息,做好口腔护理,病情较重者需要针对情况进行相应处理,如降颅压治疗、应用激素类药物等。
疱疹性咽峡炎
本病为自限性疾病,无有效抗病毒药物,给予对症支持治疗,酌情给予退热药、局部镇痛药。
参考文献
[1]沈颖.诸福棠实用儿科学[M].北京:人民卫生出版社,2015:832-833.
[2]张学军,郑捷主编.皮肤性病学(第9版)[M].北京:人民卫生出版社,2018:74.
[3]张志愿主编.口腔科学[M].北京:人民卫生出版社,2008:06,84.
[4]王宝玺,中华医学百科全书.临床医学皮肤病学[M].中国协和医科大学出版社,2017:01,81.
