概述
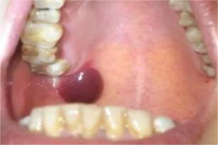
口腔上颚肿了一个包,可见于外伤或口腔纤维瘤,表现为凸起的包块,质软或质硬,多与局部创伤、刺激等因素有关。
症状
口腔上颚肿了一个包,考虑可能是外伤或口腔纤维瘤,其临床表现有所差异。
外伤:进食坚硬粗糙的食物,如鱼刺、骨头等,均可使上颚损伤,导致破损处黏膜肿胀凸起,出现血疱,形成一个包。

口腔纤维瘤:发生在口腔的纤维瘤较小,呈结节状,有蒂或无蒂,多发生于腭、颊等部位。质地坚硬,大小不等,表面光滑、边界清楚。继发感染时可引起疼痛或者功能障碍。

病因
口腔上颚肿了一个包多因局部外伤导致,如进食粗糙坚硬的食物。另外,也可能与局部慢性创伤、刺激等因素有关。
治疗
口腔上颚肿了一个包时,应及时就医,明确诊断后,遵医嘱进行针对性治疗。
外伤:无需特殊治疗,有一定的自限性,或使用氯己定含漱液漱口,保持口腔清洁,同时注意避免食用辛辣刺激性食物,以免加重不适症状。必要时也可由专业医生挑破血疱,促进愈合。
口腔纤维瘤:口腔纤维瘤主要采用外科手术将肿瘤摘除治疗,预后良好,而且复发率极低。
参考文献
[1]王佃亮,唐志辉,危岩主编.口腔科医师处方[M].北京:中国协和医科大学出版社.2019.155.
[2]BettinaBasrani主编;黄定明主译.牙体牙髓放射影像学[M].沈阳:辽宁科学技术出版社,2016.31.
展开
