概述
黑色牙结石的严重程度,可根据牙石指数分级,共分为4级,与牙结石病变范围相关,可给予龈上洁治、龈下刮治等治疗。
程度分级
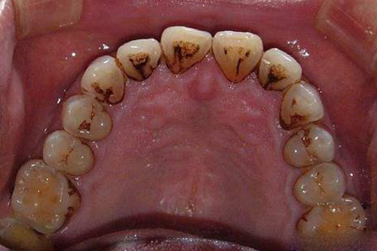
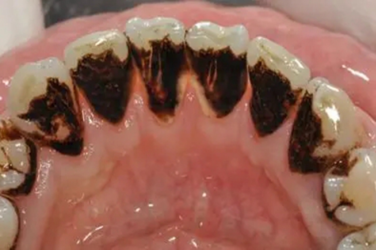
牙结石是沉积在牙面上的已矿化的或正在矿化的菌斑及软垢,龈上牙石颜色较浅,亦可因吸烟或食物着色而呈深色,表现为黑色牙结石,龈下牙石体积较小多呈深色,与牙面的附着比龈上牙石牢固。
牙结石的严重程度,可根据牙石指数分为4级。0度为龈上、龈下无牙石;1度为龈上牙石覆盖面积占牙面的1/3以下;2度为龈上牙石覆盖面积占牙面的1/3-2/3,或在牙颈部有散在龈下牙石;3度为龈上牙石覆盖面积占牙面的2/3以上,或在牙颈部有连续而厚的龈下牙石。




治疗
黑色牙结石病情较轻者附着于牙颈部,严重时可覆盖牙面,可遵医嘱通过龈上洁治法、龈下刮治法治疗。龈上洁治法是采用超声波洗牙的方法来清除牙结石以及牙菌斑,龈下刮治法是使用器械将牙结石去除。
参考文献
[1]庞国明主编.实用结石病临床手册[M].北京.中国中医药出版社.2015.320-321.
[2]张震康,俞光岩,徐韬.实用口腔科学.第4版[M].北京.人民卫生出版社.2016.83.
展开
