右脚第二三四跖骨骨折是较常见的跖骨骨折,骨折可以发生于基底部、骨干以及骨颈部。
发生跖骨骨折,程度轻者可以采用手法整复,若骨折程度较重,可用石膏或夹板固定治疗。
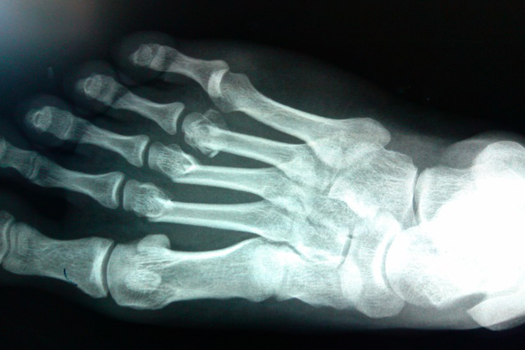
右脚第二三四跖骨骨折是足部较常见的跖骨骨折,骨折的部位可以发生于基底部、骨干及骨颈部。因跖骨相互支持,骨折移位多不明显。发生骨折后足背肿胀、疼痛,皮下有瘀斑,活动功能障碍,局部压痛,并有纵向叩击痛。

发生右脚第二三四跖骨骨折时,若无明显移位,可外敷消炎散,用足底托板加足背扇面形夹板或石膏托、树脂绷带等外固定;若有移位骨折,可根据病情采用手法整复外固定;若程度较重,可在医生指导下通过手术,进行切开复位内固定。
[1]朱定川编著.实用临床骨科疾病诊疗学[M].沈阳.沈阳出版社.2020.68.
[2]孙振全编著.岭南西关正骨[M].广州.广东科技出版社.2019.228.