概述
宫颈囊肿可导致宫颈表面出现大小不等的红色肿物,主要与慢性炎症的刺激有关,需遵医嘱治疗。
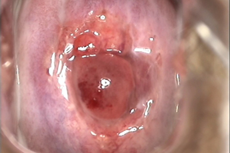
症状
宫颈囊肿可导致宫颈表面出现大小不等的红色肿物,肿物为果冻状,表面光滑,上面有少量的充血,边界清楚,可完全堵塞宫颈口,影响受孕。

病因
宫颈囊肿的发生主要与慢性炎症的刺激有关。慢性炎症刺激会导致宫颈组织血管扩张、充血和组织水肿,血液中的红细胞渗漏入周围组织,进而导致宫颈表面红色肿物的出现。
治疗
对于宫颈囊肿宫颈表面出现的红色肿物,可以进行激光治疗、微波治疗等。激光治疗可以利用高能量激光束作用于红色肿物,切除病变组织,同时促进伤口愈合和组织修复。微波治疗可以利用高频电磁场的热作用,导致红色肿物组织的坏死和脱落。具体的治疗方案应根据病情严重程度和个体差异决定,建议患者在医生的指导下进行治疗。
参考文献
[1]李卫平主编.女性常见病症科普手册[M].北京.中国科学技术出版社,2020.09.22-23.
[2]吴绪峰主编.宫颈腺癌[M].武汉.湖北科学技术出版社,2020.08.234.
展开
